Беременность после кесарева сечения в Челябинске
Число женщин, перенесших операцию кесарева сечения и другие операции, оставляющие рубцы на матке, растет с каждым годом. Рубец на матке повышает риск осложнения беременности и родов. Поэтому ведение беременности у женщин с рубцом на матке имеет свои особенности. Это относится и к перечню обследований и к определению сроков родов.
Течение текущей беременности и роды у женщин с кесаревым сечением зависит от того, каким образом проходило восстановление организма после операции. После кесарева сечения или других операций заживление послеоперационного рубца на матке идет по-разному, на качество заживления влияет целый ряд факторов:
-
Состояние организма беременной накануне родов и наличие осложнений во время родов;
-
Длительность безводного периода;
-
Локализация разреза на матке и примененная техника ушивания разреза;
-
Качество материала для шва;
-
Длительность операции, объем кровопотери;
-
Характер течения и ведения послеоперационного периода.
Особенно распространены осложнения для первого кесарева сечения.
К неполноценному восстановлению рассеченной стенки матки чаще всего приводят тяжелый гестоз, предлежание или преждевременная отслойка нормально расположенной плаценты, ожирение, анемия, хронические инфекционные заболевания.
Особенности течения беременности после кесарева сечения
Женщин после кесарева сечения ставят на учет по беременности как можно раньше для тщательного обследования и планирования беременности.
Если вы относитесь к этой группе риска, то на первом приеме врач поставит Вас в известность о всех возможных осложнениях во время беременности и в родах.
При беременности у женщин с рубцом на матке возможны следующие осложнения:
-
аномальное расположение плаценты
-
неправильное положение плода.
-
частые клинические признаки угрозы прерывания беременности.
-
риск разрыва матки на границе рубцовой и мышечной ткани. озникает так как рубцовая ткань менее эластичная, признаками такой угрозы может быть болезненность рубца.
К признакам несостоятельности рубца на матке относятся:
-
Сохраняющаяся на фоне лечения угрозы прерывания беременности или периодически возникающая болезненность в области рубца, особенно при пальпации и шевелении плода;
-
Истончение в области рубца, которое определяется пальпаторно и с помощью УЗИ;
-
Гипоксия плода.
Факторы риска несостоятельности рубца (разрыва ткани на границе рубца и мышц).

К таким факторам относятся
:-
воспалительные осложнения после предыдущего кесарева сечения
-
аборты, выполненные в промежутке после кесарева сечения до наступления настоящей беременности, также ухудшают ее прогноз, т.к травмируется стенка матки и риск несостоятельности рубца при этом увеличивается.
Женщине после кесарева сечения следует очень внимательно следить за состоянием своего организма.
Необходимо экстренно обратиться к врачу, если есть боли внизу живота, в пояснице, по всему животу, в области рубца, боли при физической нагрузке, которые не снимаются после приема болеутоляющих средств.
В комплексе мероприятий по подготовке к предстоящей беременности важную роль имеет оценка состояния рубца на матке. Наиболее распространенным методом диагностики является гистеросальпингография.
Семейная клиника «Жемчужина» предлагает современный и достоверный метод исследования — гистероскопию.
Прогноз следующей после кесарева сечения беременности зависит от следующих факторов:
-
Возраста женщины;
-
Сопутствующих заболеваний;
-
Характера течения и ведения предыдущей беременности;
-
Показаний к выполнению кесарева сечения;
-
Техники выполнения операции и качества шовного материала;
-
Течения и ведения послеоперационного периода.
Чтобы предотвратить формирование несостоятельного рубца важно применение рациональной контрацепции. В течение первых 6 – 8 месяцев после операции рекомендовано применение барьерных методов. При отсутствии лактации и других противопоказаний возможно применение гормональных контрацептивов. В дальнейшем, но не ранее, чем через 6 месяцев возможно введение внутриматочной системы.
Перед родами
Перед родами, ближе к прогнозируемому сроку, необходимо следить за состоянием организма еще внимательней. Схваткообразные или ноющие боли внизу живота, длительностью до суток — повод незамедлительно обратиться к врачу с предположением угрозы разрыва матки. К признакам этого состояния относятся так же: изменение сердцебиения плода, тошнота, рвота, головокружения, обморочное состояние, боли в эпигастральной области (в воображаемом треугольнике, который «рисуется», если провести линию, касающуюся нижнего края ребер и выделить область выше неё, ограниченную сверху самими ребрами).
При наличии перечисленных признаков врач чаще всего делает УЗИ диагностику состояния рубца. Поэтому для беременных после кесарева сечения женщин на сроке от 28 -37 недель назначают дополнительное ультразвуковое обследование.
Плановая госпитализация и роды
Так как риск разрыва матки при повторных родах после кесарева сечения велик, беременные женщины с рубцом на матке госпитализируются на сроке 37-38 недель.
При госпитализации надо иметь при себе выписку из амбулаторной карты о предыдущей операции, данных обследования вне беременности, характере течения данной беременности и данных обследований во время настоящей беременности. Чаще всего роды для женщин с рубцом на матке проводят повторным кесаревым сечением. При этом стараются максимально приблизить дату операции к срокам родов.
Планирование беременности после кесарева сечения
Запланированная последующая беременность может быть рекомендована через 2 – 3 месяца после отмены гормональных контрацептивов или внутриматочной спирали, но не ранее, чем через 2 года после кесарева сечения.
Как готовиться ко второй беременности
Подготовка ко второй беременности начинается с планирования. Первая фаза подготовки зависит от того, когда молодые родители планируют следующего ребенка. Если нет намерения рожать детишек-погодков, молодой матери следует предохраняться во время секса, даже если она кормит грудью. При грудном вскармливании уровень гормонов в организме женщины часто препятствует повторной беременности, но далеко не всегда. Уже на третьем-четвертом месяце жизни малютки кормящая мать может забеременеть снова. Между тем, идеальным временным промежутком между родами считается срок 2-3 года.
Когда половая жизнь после родов налажена, подобраны контрацептивы, и родители твердо уверены, что беременность не наступит случайно, можно переходить к дальнейшим этапам планирования. Родители должны продумать социальные и экономические аспекты – как родители будут зарабатывать, как выстраивать карьеру, где жить, кто из родственников может и будет им помогать возиться с детишками, и так далее.
Не стоит полагаться на волю случая, лучше продумать эти вопросы заранее. Если же семья обеспечена деньгами и родственниками, можно начинать планирование на уровне физического здоровья.
Новая беременность после первых родов: чего ожидать
Материнство меняет организм женщины навсегда, даже если во время беременности не было осложнений. Беременность – это большая нагрузка для всех систем организма. Поэтому при планировании второй беременности рекомендуется пройти медицинское обследование.
Что следует проверить при планировании второй беременности:
- сделать развернутый анализ крови;
- сделать электрокардиограмму;
- общий анализ мочи;
- консультация гинеколога;
- консультации других специалистов по назначению.
Здоровой матери достаточно сдать общие анализы и проконсультироваться с гинекологом. А вот женщинам, которые имели хронические заболевания до беременности, или же симптомы появились во время нее, нужно посоветоваться с профильными специалистами.
Вторая беременность после кесарева сечения
Совсем недавно роды с помощью кесарева приводили к сильным травмам у женщины. Из-за хирургического вторжения на матке образовался грубый постоперационный рубец, который делал последующие естественные роды практически невозможными. К счастью, медицинские технологии развиваются. Сейчас после кесарева сечения на матке остается небольшой шрам, при котором вполне возможно родить естественным способом.
Конечно, если в первых родах кесарево сечение проводилось из-за анатомического узкого таза у матери, во вторых родах также будет показана операция. Но если причиной кесарева стала проблема, связанная с самой беременностью – например, поперечное предлежание плода – то вторые роды могут быть и естественными.
Что нужно знать о первых родах через кесарево сечение:
- каким способом проводилась операция;
- каким методом зашивался рубец и какой шовный материал использовался;
- были ли осложнения после операции;
- какая была кровопотеря;
- какое лечение проводилось после операции.

Эти данные помогут гинекологу правильно оценить состояние организма женщины и сделать вывод о целесообразности кесарева сечения
Ведение второй беременности после кесарева
Вторая беременность для женщины обычно проходит проще – хотя бы потому, что она знает об основных этапах беременности и их особенностях. Но каждая следующая беременность может протекать по-разному, и с многими явлениями женщина может столкнуться впервые. Поэтому все рекомендации остаются прежними: мониторинг состояния здоровья, режим дня, правильное питание, окружение без лишних стрессов, курсы для молодых родителей, и так далее.
Кроме того, необходимо следить за состоянием рубца на матке. Рубец надо регулярно осматривать визуально и на сеансах УЗИ-диагностики. К последним неделям беременности станет ясно, может ли женщина родить естественным образом.
Когда рекомендуют повторное кесарево сечение:
- при анатомически узком или деформированном тазе;
- при весе ребенка выше 4 кг,
- при неправильном (тазовом или поперечном) предлежании плода;
- при многоплодной беременности;
- при хронических заболеваниях у матери, например, сахарном диабете;
- при патологиях сетчатки глаза;
- при поперечном или неполноценном рубце на матке.

Даже после повторного кесарева сечения женщина может вынашивать детей и рожать, если операция сделала в современном роддоме, опытными специалистами и на хорошей аппаратуре.
Женщинам, которым делали кесарево сечение, безопаснее в дальнейшем рожать тем же способом — исследование | Громадское телевидение
Об этом свидетельствуют новые исследования, пишет ВВС.
Попытка вагинальных родов связана с небольшим, но повышенным риском осложнения для матери и ребенка по сравнению с повторными кесаревыми.
Эксперты говорят, что женщинам стоит предлагать выбор способа родов — вагинального или кесарева — когда это возможно.
К таким выводам ученые пришли проанализировав 74 тысяч родов в Шотландии.
Исследование сравнивало риски планового или ситуативного кесарева сечения с вагинальными родами (у женщин, которые ранее имели кесарево сечение) и выявило следующие результаты:
- 45579 женщин родили путем планового кесарева сечения, а 28464 естественным способом;
- 28,4% тех, кто пытался родить вагинальным путем, перенесших экстренное кесарево сечение;
- попытки вагинальных родов были связаны с повышенным риском матери иметь серьезные проблемы с рождением и после родов по сравнению с вариантом запланированного кесарева сечения;
- 1,8% тех, кто пытался родить вагинально, и 0,8% тех, кто планировал кесарево сечение, подверглись серьезным осложнениям со здоровьем, таких как разрыв матки, кровотечение или инфекция;
- осложнения для ребенка возникли у 8% беременностей с попыткой вагинальных родов и 6,4% при запланированных кесаревых сечений.

По статистике, после одного кесарева сечения примерно трое из четырех женщин, которые беременеют, рожают вагинально, тогда как в одной из четырех женщин при родах возникает необходимость экстренного кесарева сечения.
Для женщин, перенесших кесарево сечение вагинальные роды могут создать нагрузку на кесаревый рубец, который может отделиться или разорваться. Это случается примерно у каждой двухсотой женщины. Также есть серьезный риск для ребенка, например, травма мозга или мертворождения, более вероятно при вагинальном положении, чем при плановом кесаревом сечении. Также вагинальные роды могут привести к разрыву промежности — кожи между влагалищем и заднего прохода.
Врачи также отмечают, что экстренное кесарево сечение имеет больше рисков, чем запланировано.
Стоит отметить, что восстановление после кесарева сечения может занять больше времени и риск заражения и кровотечения во время операции. Также при каждом кесаревом сечении появляется больше рубцовой ткани, увеличивает риски осложнений во время будущих беременностей.
Естественные роды или кесарево сечение?
16/03/2018 — 13:35Будущие мамы нередко встают перед дилеммой: что будет лучше для нее и малыша — естественные роды или кесарево сечение. И у того, и у другого способа родовспоможения есть свои плюсы и минусы, свои показания и противопоказания.
Развеять страхи и ненужные опасения женщин агентству «Урал-пресс-информ» помог заведующий родовым отделением Челябинского областного перинатального центра, врач акушер-гинеколог высшей категории Алексей Шерстобитов.
— Алексей Васильевич, по вашему мнению, как профессионала, какой выбор сделать (естественные роды или кесарево сечение), исходя из пользы для матери и ребенка?
— Примерно до 80-х годов прошлого века процент операций кесарева сечения составлял порядка 2-4 процентов в общем объеме родоразрешений. И мы все живы-здоровы. И с нашими бабушками и мамами всё хорошо.
— В чем плюсы естественных родов?
— При родовспоможении через естественные родовые пути нет болевого синдрома в послеоперационный период.
Восстановительный процесс для женского организма в результате естественных родов проходит гораздо быстрее, чем после операции кесарева сечения. Выявляется меньше осложнений. Соответственно сокращается время пребывания роженицы в условиях стационара. Женщина на третьи-четвертые сутки уже уходит домой. После операции кесарева сечения – только на 4-5 сутки. Кроме того, при естественных родах малыша сразу подносят к груди матери, что полезно для здоровья новорожденного и для лактации у мамы.
— Когда естественные роды противопоказаны?
— При определенных заболеваниях у женщины (например, соматическое заболевание, заболевание глаз, сердечно-сосудистой системы) естественные роды представляют собой больший риск, чем пользу. Некоторым женщинам кесарево сечение выполняется по показаниям, которые возникают во время родов (острая гипоксия плода и другие). Существуют и относительные показания – тазовое или ножное предлежание, крупный плод.
— Является ли возраст женщины показанием к кесареву сечению?
— Сейчас женщины все чаще стали рожать в позднем репродуктивном возрасте.
Раньше женщине от 33 лет и старше писали позднородящая. И это было показанием для кесарева сечения. Сейчас такого термина нет, и женщины в этом возрасте также рожают через естественные родовые пути. У нас за неделю порой проходят несколько женщин, которым 44-47 лет.
— Сколько лет вашей самой возрастной роженице было?
— 51 год (первой ее дочери уже 31 год был). Была и женщина, у которой в 49 лет была первая беременность.
— Желание роженицы может быть показанием к проведению кесарева сечения?
— Есть несколько стран в мире, где такое показание, как желание женщины провести кесарево сечение, законодательно закреплено. Российская Федерация в этот перечень стран не входит. Поэтому у нас кесарево по желанию женщины без медицинских показаний не делается. Показания для проведения операции кесарева сечения четко регламентированы приказом министерства здравоохранения РФ. Они разделены на ряд групп: плановые и экстренные показания во время беременности, а также экстренные во время родов.
И такого показания, как желание женщины, нет.
— В настоящее время количество родов, проведенных путем кесарева сечения, резко возросло. Почему это произошло?
— Перинатальная направленность медицины позволила расширить спектр показаний для оперативного родоразрешения. Например, раньше женщинам с пороками сердца категорически запрещали рожать. На данный момент эти пороки корригируются. Для женщины подбирают терапию, и она вступает в беременность. При соблюдении определенных правил благоприятный исход гарантирован. Способ родоразрешения выбирается в каждом случае индивидуально, в зависимости от степени компенсации порока к моменту родов.
— На сегодня операции кесарева сечения стали более совершенными?
— Да. Техника выполнения операций кесарева сечения совершенствуется, применяется более современный шовный материал, при ушивании которым нижний маточный сегмент лучше восстанавливается, образуется меньше рубцовой ткани.
— Раньше, если у женщины при первых родах было кесарево сечение, то на вторых и последующих родах было только кесарево сечение…
— Абсолютно верно.
Но уже четвертый год у нас в перинатальном центре женщины с рубцом на матке рожают через естественные родовые пути.
— И теперь женщина после первого кесарева может, забеременев во второй раз, выбрать – рожать через естественные родовые пути или ей сделают кесарево сечение?
— Да. Если женщина с рубцом на матке хочет рожать через естественные родовые пути, она должна записаться к нам на плановую госпитализацию. Ей необходимо будет представить протокол предыдущей операции – кесарева сечения. Мы посмотрим, как она была выполнена, узнаем у женщины, были ли осложнения в послеоперационный период. Врачи, работающие в отделении УЗИ, оценят состояние нижнего маточного сегмента, акушер — состоятельность рубца.
Потом роженица поступает в отделение патологии беременных, там собирается консилиум с участием главного врача, заведующего отделением, сотрудников кафедры Челябинской государственной медицинской академии. И мы определяемся, может ли женщина рожать через естественные родовые пути или нет.
— Нуждается ли беременная женщина с рубцом на матке в досрочной госпитализации в роддом?
— Каждый раз вопрос решается индивидуально. Это зависит от многих факторов: паритет (какого по счету ребенка должна родить женщина), насколько далеко она проживает от перинатального центра. Жительниц отдаленных районов мы стараемся госпитализировать заранее. Для женщин, проживающих в Челябинске или на расстоянии 30-40 километров от областного центра, показаний для досрочной госпитализации нет.
— В областной роддом могут обращаться только жители области или челябинки тоже?
— Женщина, независимо от места проживания, может сама выбрать роддом, в котором она хочет рожать. Но для этого она должна заранее прийти в роддом, подписать диспансерную книжку, обговорить сроки госпитализации.
Рубец на матке: беременность и роды
2 Мая 2018
Рубец на матке – это результат оперативного вмешательства на матке: кесарево сечение, миомэктомия, перфорация матки в результате внутриматочных вмешательств.
На современном этапе развития медицины отношение врачей к ведению беременности и родам у беременных с рубцом на матке кардинально изменилось по сравнению с тем, что было 10-15 лет назад.
Наличие рубца на матке не является противопоказанием для беременности. Более того, врачи акушеры-гинекологи перестали «бояться» вести беременности с рубцом на матке, а врачи акушерских стационаров перестали «бояться» вести роды у таких рожениц.
Почему же произошел переворот в сознании врачебного сообщества, и оно изменило своё отношение к рубцам?
Проведём небольшой экскурс в историю…
Практически до середины 90-х годов, что в крупных роддомах, что в акушерских отделениях ЦРБ на утренних конференциях докладывались единичные роды путем кесарева сечения из всего массива родов за сутки. И показания к кесареву сечению дежурным врачам нужно было тщательно обосновать, а если у дежурного врача несколько кесаревых за месяц, то заведующий отделением ставил вопрос о квалификации данного врача.
Всё было очень серьёзно: низкий показатель кесаревых сечений, высокий показатель родов через естественные родовые пути, низкий показатель осложнений у рожениц и…довольно высокий показатель младенческой смертности. Но в структуру младенческой смертности входил очень высокий процент смертей детей, родившихся с пороками развития. В те года они никак не выявлялись: аппараты УЗИ были единичные даже в крупных роддомах, они не позволяли выявлять множество пороков развития, опытные врачи ультразвуковой диагностики были также единичными.
Поэтому, если из показателей младенческой смертности тех лет вычесть смертность у детей, родившихся с пороками развития, то мы получим те же показатели, что и сейчас.
У врачей того периода была оправданная акушерская выдержка и интуиция ведения родов, основанная на классическом акушерстве. Немаловажным был тот факт, что рождаемость в те времена была высокой, и врачи знали, что, если у женщины после родов рубец на матке, то беременность будет проблемной, и последующие роды возможны только оперативным путем.
Был высокий показатель разрыва матки по рубцу во время беременности и в родах, и поэтому в подавляющем большинстве роддомов по стране роды с рубцом на матке проводились путем операции кесарева сечения в плановом порядке. В роды таких беременных даже не пускали. Это происходило из-за того, что тогда стенка матки ушивалась кетгутом, и иногда на этот шовный материал возникала аллергическая реакция в области сшитых тканей матки, а воспаление не способствовало хорошему заживлению тканей, и такие рубцы во время беременности истончались до критического предела и расходились\разрывались, что приводило к трагическим ситуациям.
Затем, с середины 90-х годов прошлого столетия произошло несколько моментов, которые повлияли и на беременных, и на врачебное сообщество акушеров-гинекологов.
Началось массированное «обучение» наших врачей западными специалистами своим стандартам оказания помощи беременным женщинам. Но эти «стандарты» и «обучение» нам насаждались только узконаправленные! Учитывая тяжёлое финансовое состояние людей того периода времени и врачей в частности, мы воспринимали это обучение как дух нового времени, как новые возможности в медицине, как возможность общения с коллегами из других стран.
Бесчисленные конференции и съезды мировых лидеров в акушерстве и гинекологии в России, причём практически во всех областных центрах, чтобы обучить наших «неумелых, незнающих, малоумных» врачей, исповедующих классическое акушерство, новым методикам и возможностям быстрого родоразрешения кесаревым сечением.
Показания для кесарева сечения были расширены до абсурда, их можно было подогнать под любую акушерскую ситуацию, под любую роженицу, под возможности любого врача гинеколога!
Зачем врачу уделять внимание и следить за процессом родов в течение долгого времени (от 4 до 15 часов), когда за 20-30 минут можно всё сделать, и заниматься любым следующим процессом. Классическое акушерство отошло даже не на второй план, и постепенно стало забываться… Мало того, молодые доктора, приходящие из института, видели донельзя усеченную модель поведения врача акушера-гинеколога, и в дальнейшей своей практике применяли весьма ограниченный запас знаний и умений.
Сейчас предпринимаются значительные усилия для переобучения таких докторов навыкам классического акушерства. Но, то, что прививалось годами, трудно изменить за несколько месяцев, здесь нужно больше времени.
За почти 20 лет такой «работы» мы получили огромное количество женщин с рубцами на матке, которые могли бы рожать не двоих детей, а гораздо большее количество детей. По статистике число женщин с рубцом на матке, решивших родить второго ребенка, на 30% меньше женщин, родивших ребенка естественным путем. По поводу рождения третьего ребенка задумываются лишь 10% женщин с рубцами на матке.
Обычно после третьего кесарева сечения производилась перевязка маточных труб (стерилизация), а довольно часто стерилизация проводилась и после второй операции, согласия на это никто у женщин не спрашивал. Такая ситуация привела к значительному снижению рождаемости в нашей стране.
Попробую сформулировать вопросы, которые наиболее часто задают женщины с рубцами на матке, и ответить на них.

«Можно ли беременеть, если у меня есть рубец на матке, и не будет ли это опасно для моего здоровья?»
Рубец на матке не является противопоказанием для вынашивания беременности. Беременность не представляет угрозы для здоровья у женщины с рубцом на матке, потому что последние 15 лет для сшивания тканей во время операции используется синтетический материал, не вызывающий аллергических реакций в тканях. Соответственно не будет воспаления в области рубца, и заживление тканей будет хорошим при условии, что послеродовый период был гладким. Если в послеродовом периоде случилось воспаление матки с повышением температуры тела, отсроченная выписка из роддома более недели, не по причине задержки выписки ребенка, то по поводу следующей беременности нужно будет проконсультироваться с опытным врачом. Ведь воспалительные изменения в матке приводят к нарушениям процессов заживления тканей в области рубца, что в конечном итоге ведёт к преобладанию в этом месте соединительной ткани над мышечной.
Соединительная ткань не так растягивается во время роста матки при беременности, как мышечная, соответственно она не такая эластичная, и во время родов через естественные родовые пути соединительная ткань, преобладающая в области рубца, может не выдержать чрезмерных нагрузок и «разорваться». На самом деле биомеханизмов, приводящих к разрыву матки в области рубца, довольно много, но суть от этого не изменится, разрыв матки – это грозное осложнение родов, требующее незамедлительного хирургического вмешательства и дальнейших медицинских мероприятий. «Можно ли рожать через естественные родовые пути, если предыдущие роды закончились операцией кесарева сечения?»
Однозначно ответить на этот вопрос нельзя, тем более, если женщина не беременна, а, чаще на него можно ответить только в 3 триместре беременности за 2-3 недели до родов.Объясню почему…
Роды через естественные родовые пути у беременной с рубцом на матке – это ответственный и осмысленный шаг врача и самой женщины.
Врач обязательно должен разъяснить беременной все риски и осложненияс учётом всех имеющихся обследований, консультаций, сопутствующих заболеваний и т.д. И только после этой беседы беременная должна подписать информированное согласие на озвученный ей врачом план родов, в котором обязательно будет строка; «в случае отклонения от нормального течения, роды закончить путём операции кесарева сечения».
Ведь даже, если врач предусмотрел всё, может случиться ситуация, требующая экстренного оперативного родоразрешения, и у врача, да и у роженицы может не оказаться времени на составление и подписание каких-либо документов. Всё должно быть оговорено, составлено и подписано заблаговременно.
Осложнения и состояния во время беременности, при которых не возможны роды через естественные родовые пути у беременной с рубцом на матке:
1. Вращение и приращение плаценты в области рубца.
Это состояние, когда плацента, прикрепляясь в области рубца, врастает своими тканями в мышцу матки или прорастает её.
Здесь потребуется специальная подготовка до и вовремя операции, врачи с опытом проведения таких операций, да и сама операция будет не только кесарево сечение.
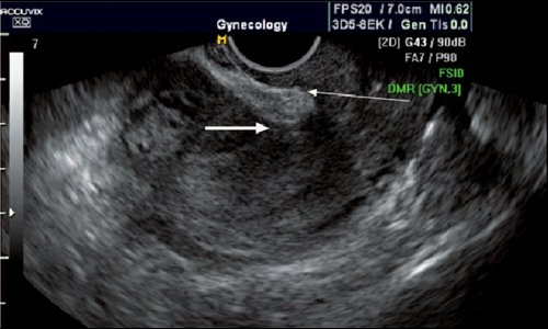
2. В сроках 36-37 недель беременности проводится ультразвуковое исследование рубца с допплерометрией для выявления наличия мышечной ткани в области рубца.
Такое исследование позволяет провести функциональную оценку рубца для возможности проведения естественных родов. Если в области рубца мышечная ткань отсутствует, то роды возможны только оперативным путём!
И никакая толщина рубца, даже если она измерена правильно, не даёт возможности оценки прогноза родов. К сожалению, этот атавизм врачебной практики ещё прочно сидит в головах врачей, особенно в женских консультациях, и они достаточно часто гоняют беременных на УЗИ измерить толщину рубца.
3. Тяжёлая преэклампсия. Это грозное осложнение второй половины беременности, характеризующееся повышением давления более 160\100 мм.рт.ст, белком в моче более 3 г\л, неврологической симптоматикой, изменениями показателей в анализах крови.
А если ещё есть рубец на матке, то роды будут только оперативные.
4. Наличие костных изменений в малом тазу в результате заболеваний костной ткани, переломов, травм, тяжёлой формы симфизита.
5. При других, так называемых, экстрагенитальных заболеваниях, при которых нельзя рожать через естественные родовые пути.
Про эти заболевания беременная уже должна знать к 38 недели, так как они выявляются во время беременности, даже, если женщина всегда считала себя абсолютно здоровой.
«Если я соглашусь\хочу рожать естественным путём, то какие осложнения могут быть во время родов?»
Первое из осложнений, это то, что роды закончатся кесаревым сечением, если что-то пойдет не так, например, начавшаяся гипоксия\асфиксия плода.Второе, это разрыв матки по рубцу при его несостоятельности во время родовой деятельности. Это осложнение можно практически полностью исключить, если (см. выше) сделать УЗИ/допплерометрию рубца перед родами.
Ответ на этот вопрос, как раз, состоит в чётко прописанном плане врача перед родами за подписью беременной.«Как проверить после естественных родов с рубцом на матке, что у меня нет разрыва матки?»
Проверить это очень легко – проводится УЗИ рубца прямо в родзале, которое подтверждает целостность рубца. При каких-то сомнениях врача, проводится под наркозом ручное обследование полости матки, которое на 100% гарантирует целостность матки.В конце хочу обратить внимание на тот факт, что при самостоятельных родах при рубце на матке, женщины чаще соглашаются на последующие беременность и роды. У них уже есть положительный опыт и самое главное уверенность в своих силах и опыте врача. Такие женщины на роды всегда возвращаются к «своему» врачу, который провел предыдущие роды естественным путём. Это огромное доверие!
Я твёрдо убеждён, что все конфликты между врачом и пациентом происходят от недостатка информации, которую врач должен донести до пациента в полном объёме, возможно, даже не один раз.
Статью подготовил Понкрашкин Александр Валентинович, руководитель отделения пренатальной диагностики Немецкой семейной клиники
беременность после кесарево сечения
Вторая беременность после кесарева сечения всегда сопряжена с определённым риском, однако перенесённая операция вовсе не означает, что у вас совсем нет шанса родить второй раз самостоятельно.По статистике, к кесареву сечению прибегают в 10−20% случаев всех родов в зависимости от профиля учреждения. В роддомах, ориентированных на сложные роды (в областных, например) этот процент всегда выше, потому что сложная беременность означает большую вероятность того, что женщина не сможет или ей будет нельзя рожать самой. В зависимости от той причины, из-за которой был выбран оперативный путь родоразрешения в первый раз, врач решает, возможна ли вторая беременность после кесарева сечения.
Если показаниями послужили осложнения конкретно этой беременности и родов, например, неправильное предлежание плода или наличие у вас генитального герпеса на момент родов — тогда никаких препятствий к тому, чтобы в будущем в вашей семье появился второй, третий ребенок, конечно, нет.
Считается, что самое лучшее время для зачатия второго ребёнка — это срок через 2 года после перенесённого вмешательства. Ранняя беременность после кесарева сечения опасна возможной несостоятельностью рубца на матке. Этим термином врачи называют неспособность рубца сопротивляться нагрузке при растяжении стенки матки, что может в итоге привести к её разрыву во время беременности или родов. Если не предохраняться и наступит беременность сразу после кесарева сечения, скорее всего, вам предложат её прервать во избежание этого осложнения, хотя известны случаи, когда женщины благополучно вынашивали второго малыша, даже если беременность наступала через месяц после кесарева. Такие случаи надо считать исключением, а не правилом, и не подвергать себя риску.
При сохранении берменности. Возможные осложнения беременности и родов:
- Разрыв матки по рубцу во время беременности (на позднем сроке) и во время родов. Начало этого осложнения проявляется острой болью внизу живота в области рубца.

- Истинное приращение плаценты. Осложнение связано с несостоятельностью эндометрия матки в области рубца, он здесь истончён и не может дать ворсинкам хориона необходимое для благополучного прикрепления, они прорастают в стенку матки. Осложнение крайне редкое, но грозное, выявляется в 3 периоде родов, после рождения ребёнка. В большинстве случаев беременность и роды после кесарева сечения протекают благополучно, заканчиваясь появлением на свет здорового, доношенного ребенка.
Естественные роды у пациенток с рубцом на матке после операции кесарево сечение
«Большинство пациенток, имеющих в анамнезе одну операцию кесарево сечение и неосложненную беременность, должны быть проинформированы о возможности родов через естественные родовые пути, — делится информацией о естественных родах после КС заведующая акушерским отделением платных медицинских услуг, кандидат медицинских наук Карпова Елена Викторовна.
— Естественные роды с рубцом на матке могут проводиться в акушерских стационарах второй или третьей группы, имеющих в своем составе отделения анестезиологии и реанимации, отделение реанимации для новорожденных, современные кровосберегающие технологии и оборудование, возможность проведения экстренного кесарева сечения круглосуточно, врачей акушеров-гинекологов, имеющих опыт ведения родов с рубцом на матке.
Доказано, что роды через естественные родовые пути у беременных с рубцом на матке по сравнению с плановой повторной операцией имеют преимущества, а именно: снижение риска кровопотери, инфекционного процесса, минимальный период реабилитации. Безусловно, не следует забывать о рисках таких родов – частота разрыва матки у рожениц с рубцом составляет 0,5-1%.
Ведение родов с рубцом на матке имеет ряд особенностей:
- беременная должна быть госпитализирована в стационар на сроке 39 недель
- наблюдаться в родовом блоке с начала родовой деятельности
- обезболивание родов не противопоказано (методом выбора является эпидуральная аналгезия)
- акушерские операции, такие как амниотомия, вакуум-экстракция плода и др.
проводятся по показаниям, аналогичным у рожениц без рубца на матке - третий период родов ведется активно, с контрольным ручным обследованием полости матки для определения состоятельности рубца после родов
Выписка из родильного дома при неосложненном течении послеродового периода осуществляется на 3 сутки после выполнения УЗИ и получения результатов анализов.
Таким образом, решение о родах через естественные родовые пути с рубцом на матке после операции кесарево сечение принимается в индивидуальном порядке после общения беременной с акушером-гинекологом, ознакомления с течением предыдущих родов и послеродового периода, разъяснения всех возможных рисков и подписания информированного добровольного согласия.
Итак, каким группам беременных можно задуматься о естественных родах с рубцом на матке:
- желание пациентки и ее психологический комфорт
- одна операция кесарева сечения в анамнезе
- разрез на матке в нижнем сегменте (необходимо предоставить выписки о предыдущих родах)
- отсутствие осложнений послеоперационного периода (температура, воспаление, кровотечение)
- показания к первой операции относительные: слабость родовой деятельности, тазовое предлежание, хроническая гипоксия плода, крупный плод, сумма различных показаний
- предполагаемая масса плода не более 4000 г
- состоятельный рубец на матке по данным УЗИ в доношенном сроке беременности
Следовательно, роды у женщин с рубцом на матке после кесарева сечения возможны и предпочтительны, однако, им должен предшествовать серьезный отбор беременных на амбулаторном и стационарном этапах.
«
Проблемы с фертильностью и беременность после кесарева сечения
Если вы уже рожали ребенка с помощью кесарева сечения, вы более чем знакомы с этой процедурой. Хотя те, кто не прошел через это, видят в этом просто «разрезание вас, чтобы вынуть ребенка», вы, вероятно, понимаете, что кесарево сечение представляет собой серьезную операцию. Женщины, перенесшие кесарево сечение, могут пострадать от ряда побочных эффектов и у них могут развиться проблемы, которые сохранятся на всю жизнь и могут повлиять на способность к зачатию.
Что происходит во время кесарева сечения?
Кесарево сечение выполняется, когда установлено, что по той или иной причине женщина не может родить естественным путем. Решение о проведении кесарева сечения может быть принято задолго до родов или может быть принято в последнюю минуту, если мать или ребенок находятся в тяжелом состоянии.
Во время кесарева сечения ребенка хирургическим путем удаляют из матки матери.
Для этого делают разрез в брюшной полости, а затем в матке.
Эксперты объясняют, что способ разреза матки очень важен, потому что то, как заживление рубца может повлиять на способность женщины снова забеременеть, а также может повлиять на то, как будут происходить любые последующие роды.
В США больше женщин, чем когда-либо прежде, рожают с помощью кесарева сечения. Данные показывают, что почти каждая третья женщина не рожает естественным путем. Исследователи предполагают, что причиной этого является рост ожирения среди женщин в США и частое использование эпидуральной анестезии, а также лекарств, вызывающих роды, которые могут вызвать осложнения.
Кесарево сечение может спасти жизнь матери и ребенку, но есть новые попытки сократить количество этих процедур, поскольку они также могут вызвать проблемы при следующей беременности. Кроме того, 90 процентов женщин, родивших первого ребенка с помощью кесарева сечения, будут делать это во всех последующих родах.
Кесарево сечение и рубцы
Как и при любой операции, связанной с разрезом, образование рубцовой ткани после кесарева сечения является нормальным явлением.
Однако иногда это рубцевание может вызвать сильное воспаление или препятствия, которые затруднят будущую беременность.
Кроме того, рубцовая ткань может расти и вызывать образование больших масс, которые могут вызвать эндометриоз. Эндометриоз не только болезнен, но также может вызвать бесплодие. Если это очень серьезно, врач может предложить удаление клеток и ткани эндометрия.
Другие осложнения, вызванные кесаревым сечением, которые могут способствовать проблемам с фертильностью, включают:
- Инфекции, возникающие в месте разреза
- Поврежденные или заблокированные фаллопиевы трубы
- Хирургические кровотечения
- Повреждение других органов в область, включая мочевой пузырь или желудок
- Изменение овуляции или менструального цикла
Решение проблемы бесплодия — Беременность после кесарева сечения
Как правило, женщинам, перенесшим кесарево сечение, рекомендуется подождать не менее 18 лет. 24 месяца до повторной попытки зачать ребенка.
Это дает организму шанс на правильное и полное заживление. Крайне важно НЕ пытаться зачать новую беременность в течение 6-12 месяцев после кесарева сечения. В этот момент риск разрыва матки становится высоким, а осложнения беременности могут быть опасными для жизни.
Если, однако, вы подождали рекомендованное время и все еще не забеременели хотя бы через 6 месяцев попыток, возможно, вы страдаете вторичным бесплодием, вызванным предыдущим кесаревым сечением. Это проблема, о которой не так много говорят ни в Интернете, ни где-либо еще, и вам бы хотелось, чтобы друзья и семья посоветовали вам не беспокоиться об этом.В конце концов, у вас ведь уже есть один ребенок?
Тем не менее, если вы хотите иметь больше детей, эту форму бесплодия так же трудно понять, как и первичное бесплодие, и вы захотите решить эту проблему, чтобы продолжать строить свою семью.
Лучший способ узнать больше о беременности после кесарева сечения — это проконсультироваться с опытным репродуктивным специалистом, который действительно может определить с помощью тестирования, вызвана ли ваша проблема с зачатием рубцами кесарева сечения или другой связанной причиной или чем-то еще.
Вы сможете получить нужные ответы и узнать больше о том, что вам нужно сделать, чтобы снова забеременеть.
Вернуться назадБеременность после кесарева сечения: все, что вам нужно знать
Выполнение кесарева сечения может быть тяжелым испытанием, особенно если вы не знаете, чего ожидать после родов. После того, как вы встали на путь выздоровления, который часто бывает болезненным, понятно, что вас могут мучить вопросы и неуверенность в некоторых вещах, в том числе в отношении спорадической боли от рубца кесарева сечения или рождения на свет еще одного ребенка.
В связи с неуклонным увеличением числа родов с помощью кесарева сечения во всем мире возникли серьезные опасения по поводу распространенности этой процедуры, и стало чрезвычайно актуальным и важным обеспечить более безопасные роды в будущем для женщин, которые ранее рожали с помощью кесарева сечения.
Мы поговорили с тремя экспертами по фертильности, которые предоставили нам информацию об основных вещах, которые женщина, перенесшая кесарево сечение, должна знать, прежде чем задуматься о беременности после кесарева сечения.
Мы также обсуждаем влияние кесарева сечения на фертильность и лучшее время для секса после кесарева сечения.
Предыдущая доставка через кесарево сечение не означает, что шансы на успешную и свободную от стресса будущую доставку для вас недостижимы. Однако следует проявлять особую осторожность, чтобы свести к минимуму риск осложнений во время беременности и родов. Вот некоторые из вещей, которые следует учитывать, чтобы обеспечить безопасность как матери, так и ребенка.
ВЛИЯЕТ ЛИ С-СЕКЦИЯ НА ВАШУ ПЛОДОРОДНОСТЬ?
Кесарево сечение редко влияет на вашу фертильность в будущем, — говорит доктор Барри Витт, медицинский директор WINFertility.Процедура в основном выполняется в экстренных случаях, когда младенца ставят ступнями вперед (так называемое тазовое предлежание), и это не связано со снижением репродуктивной способности женщины. Когда кесарево сечение выполняется в результате того, что ребенок находится в тазовом предлежании, исходное состояние, такое как миома матки, могло привести к тазовому предлежанию.
Витт объясняет, что такие миомы могут быть связаны с будущими проблемами фертильности, но они не возникают конкретно в результате кесарева сечения.
По словам Витта, некоторые факторы — в сочетании с выполнением кесарева сечения — могут привести к снижению фертильности. «Женщин, которые ранее перенесли кесарево сечение, следует сообщить, что более короткие интервалы между беременностями связаны с повышенным риском разрыва матки и материнских осложнений», — говорит он. Он также добавляет, что некоторое снижение фертильности происходит в результате старения с момента предыдущего кесарева сечения до момента попытки новой беременности. «Также могут быть некоторые рубцы за пределами матки или дефекты стенки матки на месте рубца после кесарева сечения, которые могут отрицательно повлиять на фертильность», — говорит он, добавляя: «Но это редко.”
Через какое время после кесарева сечения можно забеременеть?
Большинство медицинских экспертов рекомендуют подождать не менее шести месяцев после живорождения, прежде чем снова забеременеть, чтобы снизить риск таких осложнений, как преждевременные роды, низкий вес при рождении и врожденные нарушения.
По данным клиники Майо, исследования обычно предполагают ожидание от 18 до 24 месяцев, хотя женщины старше 35 могут подождать 12 месяцев. В конечном итоге этот график зависит от многих факторов, и его лучше всего обсудить со своим врачом.
Когда безопасно заниматься сексом после кесарева сечения?
Вы также можете не знать самое безопасное время после процедуры, чтобы начать заниматься сексом. Возможность комфортно заниматься сексом является важным фактором при наступлении беременности после кесарева сечения. Как объясняет Витт, обычно рекомендуется отложить половую жизнь как минимум до шести недель после родов.
В целом, медицинские проблемы относительно возвращения к половому акту после кесарева сечения минимальны.Доктор Кристина Холланд, физиотерапевт и владелица Inclusive Care, LLC, предполагает, что на какое-то время лучше выбрать более простые позы. «Обычно время заживления разреза составляет шесть недель», — говорит она. «Это не обязательно означает, что ваше тело полностью вернулось к норме и готово к работе в этот момент, поэтому можно ожидать некоторой боли во время полового акта».
Также часто возникает чувство дискомфорта во время секса из-за давления в ядре или беспокойства и неловкости из-за рубца после кесарева сечения.Витт предполагает, что когда вы возобновляете половую жизнь после заживления разреза, ваш комфорт должен быть важнее всего. Это означает, что лучше воздержаться от секса до тех пор, пока вы не будете готовы морально и эмоционально.
Почему шрам от кесарева сечения не перестает болеть?
Кроме того, после кесарева сечения многие женщины продолжают чувствовать боль от шрама после разреза в течение более длительного времени, чем они ожидали, что заставляет их думать, что с их шрамом что-то не так или что они не заживают должным образом.Для женщины, которая пытается забеременеть, это может стать проблемой. Холланд, которая ведет женщин через процесс заживления после кесарева сечения, объясняет, что обычно со шрамом или тканью под ним все в порядке, но он может стать сенсибилизированным, что можно решить с помощью лечения у специалиста.
«Многим женщинам говорят, что их шрам от кесарева сечения со временем заживет, — говорит она. — И хотя это верно в большинстве случаев, есть ситуации, когда женщинам приходится долго ждать, чтобы заживать». потому что раньше они не подозревали, что могли бы сделать это раньше, приняв участие в сеансах физиотерапии под руководством профессионала.”
Советы по обезболиванию во время восстановления кесарева сечения
Если вы перенесли кесарево сечение, важно обеспечить полное выздоровление, чтобы избежать осложнений при будущих родах. Простые упражнения, такие как упражнения Кегеля, рекомендуются для облегчения боли, укрепления тазового дна и ускорения процесса восстановления. Несколько вещей, которые могут вам понадобиться во время лечения: грелки, прописанные обезболивающие и много воды.
Йога также может помочь в восстановлении после кесарева сечения.Доктор Хизер Бартос, сертифицированный акушер-гинеколог и основатель Badass Health, настоятельно рекомендует эту практику женщинам, восстанавливающимся после кесарева сечения.
«Йога помогает модулировать реакцию на стресс после операции, а это, в свою очередь, помогает сократить период восстановления», — говорит она. Медитация также дает дополнительное преимущество в виде расслабления ума. По словам Бартоса, оба препарата важны для каждой мамы, восстанавливающейся после кесарева сечения, а их совокупный эффект помогает укрепить ум и тело.
Наконец, важно помнить, что кесарево сечение — это серьезная процедура, и вашему организму требуется время, чтобы вернуться на правильный путь и снова подготовиться к процессу репродукции. Вам следует уделять время тщательному планированию будущих беременностей только тогда, когда вы чувствуете себя физически и морально готовыми к этому. Регулярные консультации с акушером-гинекологом также помогут вам гарантировать ваше здоровье и безопасность как во время, так и после беременности.
Беременность и роды после кесарева сечения
Когда я могу снова забеременеть после кесарева сечения?
Рекомендуется подождать около года после кесарева сечения (кесарево сечение), прежде чем снова забеременеть.
Восстановление после кесарева сечения обычно занимает больше времени, чем восстановление после вагинальных родов, даже если роды были несложными. Важно дать вашему организму время восстановиться, прежде чем вы снова начнете пытаться. Чем дольше вы будете оставлять шрам для заживления, тем он будет сильнее.
Особенно важно убедиться, что ваш шрам полностью зажил, если вы хотите в следующий раз попробовать роды через естественные родовые пути. Это связано с тем, что рубец может немного приоткрыться, что называется расхождением матки.Это может не вызвать серьезных проблем, но может увеличить вероятность разрыва матки (разрыва стенки матки), что может вызвать серьезные проблемы как для мамы, так и для ребенка. Шансы на разрыв матки выше, если в следующий раз у вас будут роды через естественные родовые пути, но это все еще редко.
Это может помочь подумать о том, сколько времени вам потребовалось, чтобы восстановиться после последнего кесарева сечения, о вашем текущем физическом здоровье и о том, чувствуете ли вы эмоциональную готовность.
Есть много положительных вещей, которые вы можете сделать, чтобы повысить свои шансы на здоровую беременность и ребенка.Узнайте больше о планировании беременности.
Конечно, беременность не всегда планируется. Или вы можете захотеть забеременеть раньше по своим собственным причинам. Если вы забеременели в течение года после кесарева сечения, вы все равно сможете рожать естественным путем, если захотите. Ваш врач или акушерка обсудят с вами лучшие варианты родов.
Какие у меня есть возможности для повторных родов после кесарева сечения?
У вас могут быть естественные роды после кесарева сечения (VBAC) или планового повторного кесарева сечения (ERCS).Если вы в хорошей форме и здоровы, оба варианта являются безопасным выбором с очень небольшими рисками.
Ваше решение будет зависеть от нескольких вещей. Сюда входит история вашей беременности, история болезни и то, как протекает ваша текущая беременность.
«Я бы посоветовал прислушиваться к мнению ваших медицинских специалистов и сохранять непредвзятость.
Я хотела VBAC после травматического экстренного кесарева сечения, нескольких выкидышей и тяжелой беременности. К сожалению, этого не произошло, но мое факультативное кесарево сечение было удивительно цивилизованным и полностью контрастировало с первым рождением! »
Аманда
Обсуждения с акушеркой и врачом (акушером)
Ваш врач или акушерка обсудят с вами возможные варианты лечения, в идеале до 28-й недели беременности.Это может включать разговор о:
- , почему вам в прошлый раз сделали кесарево сечение
- , если у вас когда-либо были роды естественным путем
- , если были какие-либо осложнения во время последнего кесарева сечения или во время выздоровления
- тип разреза, который был сделан во время операции кесарева сечения (горизонтальный разрез чуть ниже линии бикини или вертикальный разрез от пупка) Вертикальный разрез бывает редко.
- как вы относитесь к своему последнему опыту родов
- Как протекает ваша текущая беременность, были ли какие-либо проблемы или осложнения
- сколько еще детей вы надеетесь родить в будущем — риски возрастают с каждым кесаревым сечением, поэтому, если вы планируете иметь больше детей, возможно, лучше попытаться избежать повторного кесарева сечения, если это возможно.
Если вы все же решите попробовать роды через естественные родовые пути (VBAC), вам будет рекомендовано рожать в больнице. Это сделано для того, чтобы при необходимости можно было провести экстренное кесарево сечение или переливание крови. Это еще более важно, если ваши роды вызваны (начаты искусственно), потому что риск некоторых осложнений, таких как разрыв матки, выше.
Придется ли мне сделать еще одно кесарево сечение?
Вам могут посоветовать сделать еще одно кесарево сечение, если у вас есть:
- вертикальный рубец на матке
- Предлежание плаценты У
- был разрыв / расхождение матки до
- ранее перенес операцию на матке.
Могу ли я родить через естественные родовые пути, если у меня было более одного кесарева сечения?
Если у вас было более одного кесарева сечения, у вас должна быть возможность поговорить со старшим акушером (врачом) о потенциальных рисках и преимуществах для вас.
Как можно скорее поговорите со своей акушеркой, чтобы назначить консультацию акушера.
«Мне сделали экстренное кесарево сечение моему первому радужному ребенку. Когда я забеременела вторым, я знала, что хочу попробовать VBAC, но на этот раз у меня были гораздо более реалистичные ожидания, так как это была беременность с высоким риском.Во время родов был момент, когда я думала, что мне придется сделать еще одно кесарево сечение, но, к счастью, мне удалось родить через естественные родовые пути. Я проделал то же самое со своим третьим и надеюсь, что смогу сделать то же самое со своим четвертым. Я думаю, что каждая мама, перенесшая кесарево сечение, должна надеяться, что ей удастся сделать VBAC, если она этого хочет, но тем не менее гордиться собой ».
Кара
Каковы мои шансы на успешные вагинальные роды после кесарева сечения?
После 1 кесарева сечения большинство женщин могут рожать естественным путем (если у них неосложненная беременность и роды рождаются естественным путем).
Есть некоторые факторы, которые повышают вероятность успешных родов через естественные родовые пути. К ним относятся, если:
- у вас когда-либо были роды через естественные родовые пути, особенно если роды произошли естественным путем после кесарева сечения
- роды начинаются естественным путем
- Вы имели нормальный вес на момент беременности.
Каковы преимущества естественных родов после кесарева сечения?
Успешные вагинальные роды после кесарева сечения имеют меньше осложнений, чем плановое кесарево сечение (ECRS).Если у вас роды естественным путем:
- ваше выздоровление будет быстрее
- Ваше пребывание в больнице может быть короче
- вы избежите рисков операции
- у вашего ребенка будет меньше шансов на начальные проблемы с дыханием.
Каковы недостатки вагинальных родов после кесарева сечения (VBAC)?
Вам может потребоваться экстренное кесарево сечение во время родов. Это случается примерно с 25% женщин.
Также:
- у вас немного выше вероятность необходимости переливания крови по сравнению с женщинами, которые выбрали плановое кесарево сечение
- рубец на матке может отделиться и / или разорваться (расхождение / разрыв).Это может произойти у 1 из 200 женщин. Этот риск увеличивается, если ваши роды инициированы (начаты искусственно). Если это может произойти, вам предложат экстренное кесарево сечение
- серьезный риск для вашего ребенка, такой как травма головного мозга или мертворождение, выше, чем при плановом кесаревом сечении, но такой же, как если бы у вас были роды в первый раз
- Вам может потребоваться помощь в родах
- : вы можете испытать разрыв промежности с вовлечением мышцы, контролирующей задний проход или прямую кишку (разрыв третьей или четвертой степени), что обычно связано с родовспоможением.
Каковы преимущества планового кесарева сечения после кесарева сечения (ECRS)?
- Существует меньший риск отделения или разрыва рубца после кесарева сечения (1 из 1000).
- Вы будете знать дату запланированных родов. Хотя у некоторых женщин роды рождаются раньше этого срока, и иногда эта дата может быть изменена по другим причинам.
Каковы недостатки планового кесарева сечения после кесарева сечения (ECRS)?
Повторное кесарево сечение обычно занимает больше времени, чем первая операция, из-за образования рубцовой ткани.Рубцовая ткань также может затруднить операцию и вызвать повреждение кишечника или мочевого пузыря.
- Вы можете заразиться раневой инфекцией, которая заживает через несколько недель.
- Возможно, вам понадобится переливание крови.
- У вас повышен риск образования тромба (тромбоза) в ногах (тромбоз глубоких вен) или легких (тромбоэмболия легочной артерии).
- У вас может быть более длительный период восстановления, и вам может потребоваться дополнительная помощь дома. Вы не сможете водить машину в течение примерно 6 недель после операции (уточните в своей страховой компании).
- Вам с большей вероятностью понадобится плановое кесарево сечение при будущих беременностях. С каждым кесаревым сечением появляется больше рубцовой ткани. Это увеличивает вероятность врастания плаценты в рубец, что затрудняет ее удаление во время будущих родов. Это может вызвать кровотечение, и вам может потребоваться гистерэктомия. Это означает, что вам предстоит операция по удалению матки, и вы больше не сможете забеременеть. Риск серьезных проблем, подобных этой, увеличивается с каждым кесаревым сечением.
- Кожа вашего ребенка может быть случайно порезана во время кесарева сечения.Это происходит у 2 из 100 детей, рожденных с помощью кесарева сечения. Обычно это очень незначительный порез, который заживает без каких-либо дальнейших повреждений.
- Проблемы с дыханием у вашего ребенка довольно часты после кесарева сечения, но обычно длятся недолго. Этот риск несколько выше после кесарева сечения, чем после родов через естественные родовые пути.
Где я могу рожать в следующий раз?
Обычно рекомендуется рожать в больнице или акушерке. Но место для родов — это, в конечном счете, ваш выбор, поэтому поговорите со своим врачом или акушеркой о том, что лучше для вас.
Что произойдет, когда у меня начнутся роды, если я планирую вагинальные роды после кесарева сечения (VBAC)?
Обратитесь в больницу, как только вы подумаете, что у вас начались схватки или у вас отошли воды. Как только у вас начнутся регулярные схватки, вам будет рекомендовано постоянно контролировать сердцебиение ребенка во время родов. Это поможет акушеркам и врачам следить за здоровьем вашего ребенка.
Вы можете выбрать различные варианты обезболивания. Ваша акушерка сможет объяснить вам различные варианты.
Что произойдет, если у меня не начнутся роды, если я планирую вагинальные роды после кесарева сечения (VBAC)?
Ваш врач обсудит с вами возможные варианты действий во время беременности в рамках планирования родов.
Если к 41 неделе у вас не начнутся роды естественным путем, вы можете выбрать следующие варианты:
- ожидание естественного начала работы
- вызывает роды (это может увеличить риск разрыва рубца на матке и снизить вероятность успешных родов через естественные родовые пути).
Что произойдет, если у меня запланировано плановое кесарево сечение, но у меня начнутся роды?
Немедленно сообщите в родильную бригаду, если у вас начнутся роды. Скорее всего, вам предложат экстренное кесарево сечение, но если роды идут на очень поздней стадии, для вас может быть безопаснее роды через естественные родовые пути.
Бригада родильного дома обсудит с вами этот вопрос.
Как долго ждать?
Как долго нужно ждать, чтобы забеременеть после кесарева сечения?
Забеременеть после кесарева сечения может быть непростым решением.Знание того, когда вы можете начать попытки, составление плана родов VBAC и даже знание того, являетесь ли вы хорошим кандидатом на VBAC (вагинальные роды после кесарева сечения), могут подавлять.
Понятно, что вас переполняют вопросы и неуверенность, особенно если вы хотите, чтобы ваши дети были близкими по возрасту.
Итак, что нужно знать о беременности после кесарева сечения? Давайте углубимся в дело. Мы рассмотрим все самое важное, например, интервалы между беременностями, способы подготовки к беременности, риски забеременеть «слишком рано» и как повысить ваши шансы на наличие VBAC.
Когда следует забеременеть после кесарева сечения
Большинство медицинских экспертов рекомендуют подождать от 6 до 15 месяцев после кесарева сечения, прежде чем снова забеременеть (или 15-24 месяца между родами), чтобы снизить риск осложнений. как разрыв матки.
Существует четыре опубликованных исследования, посвященных этим рискам, каждое из которых дает различные рекомендации по интервалам. Вот что говорит нам исследование:
- Ретроспективное исследование 1768 человек, планирующих VBAC, проведенное Bujold (2010), показывает, что частота разрыва равна 1.3 процента с интервалами между родами 24+ месяцев, 1,9% с интервалами между родами 18-23 месяцев и 4,8% с интервалами менее 18 месяцев.
- Ретроспективное исследование Stamilio et al. (2007) выявили только повышенный риск разрыва на 2,66% с периодом менее 6 месяцев между беременностями (15-месячный интервал между родами).
- Другое ретроспективное исследование Shipp et al. (2001) обнаружили повышенный риск разрыва с периодом менее 18 месяцев между родами (9 месяцев между беременностями.
- По данным Mayo Clinic, исследования обычно предполагают ожидание от 18 до 24 месяцев.
Эти исследования показывают, что более длительные интервалы между беременностями МОГУТ снизить риск разрыва матки. Однако оптимальный интервал еще предстоит определить, поскольку результаты противоречивы, а размер выборки в исследованиях недостаточно велик, чтобы делать выводы.
В конечном счете, график, который подходит вам, должен основываться на ваших уникальных обстоятельствах, и лучше всего обсудить его с вашим провайдером.
Планирование беременности после кесарева сечения
Есть определенные факторы, которые следует учитывать при попытке решить, когда лучше всего забеременеть после кесарева сечения.Вот несколько вещей, о которых стоит подумать:
- Ваше общее состояние здоровья: Лучшее физическое здоровье не только увеличит ваши шансы на вагинальные роды, но и на здоровую беременность. Психическое здоровье также важно, поскольку такие проблемы, как расстройства настроения или посттравматическое стрессовое расстройство после родовой травмы, влияют на то, подходите ли вы для зачатия еще одного ребенка.
- Ваш возраст: Если вам больше 35 лет, вы можете подумать о более ранней беременности из-за потенциальных рисков, связанных с беременностью на более позднем этапе жизни.
- Фертильность: Насколько легко вам зачать ребенка? Те, кому труднее зачать ребенка, могут захотеть начать пробовать раньше, чем те, кто этого не делает.
- VBAC или кесарево сечение? Если вы планируете вагинальные роды, более длительный интервал между беременностями может помочь вам найти более подходящего поставщика услуг и снизить риск разрыва.
- Общий размер семьи: Сколько детей вы хотите, должно быть решающим фактором при выборе того, когда и как их завести. Общие риски повышаются с каждым кесаревым сечением и снижаются с каждым VBAC.
Каковы риски преждевременной беременности?
Ваше решение о том, как долго ждать, чтобы забеременеть после кесарева сечения, должно учитывать риски, связанные с недолгим ожиданием.
Риски забеременеть слишком рано после кесарева сечения включают повышенный риск разрыва матки, преждевременные роды, низкий вес при рождении, более длительное время восстановления и более тяжелую беременность.
Можно ли родить естественным путем после кесарева сечения (VBAC)?
До 80% женщин, пытающихся сделать VBAC, добиваются успеха.Вот некоторые факторы, которые делают вас хорошим кандидатом на VBAC:
- Беременность с низким риском
- VBAC с двойней считается безопасной, если у вас низкий поперечный разрез.
- Имеют низко-поперечный (или разрез в области бикини) рубец на матке
- Имеют специальный рубец, если он не множественный (за исключением классического разреза)
- Нет других противопоказаний для вагинальных родов
ACOG предлагает несколько вещей, которые должны быть противопоказаниями к VBAC, включая:
- Предыдущий высокий или классический разрез матки
- Предыдущий разрыв матки
- Определенные виды операций на матке, такие как удаление миомы
- Неизвестный тип рубца, который предположительно является классический шрам
В целом выбор родов после кесарева сечения зависит от ваших предпочтений и должен приниматься с учетом ваших уникальных обстоятельств у врача, который соответствует вашим целям рождения.
Как увеличить свои шансы на успех VBAC
Само собой разумеется, что иногда кесарево сечение спасает жизнь; Я сам видел это как дула. Однако есть несколько вещей, которые вы можете сделать, чтобы избежать ненужного кесарева сечения и повысить вероятность VBAC.
Узнайте о VBAC
Еще нужно много знать, кроме того, как долго ждать, чтобы забеременеть после кесарева сечения. Какие риски? Помогает ли гипнорождение облегчить этот процесс?
Знайте свои варианты, узнайте как можно больше о рисках VBAC и повторного кесарева сечения и пройдите наш подготовительный курс к VBAC.
Найдите вашу поддержку
Наличие команды поддержки, которая знает вас и ваши предпочтения, будет иметь самое большое значение в том, как будут развиваться ваши роды. Начните с поставщика услуг поддержки VBAC, найдите доулу, прошедшую обучение по программе VBAC, и узнайте, на кого из вашего социального круга и семьи вы можете положиться, чтобы поддержать вас в вашем путешествии.
Доверяйте своей интуиции и уважайте ее
Образование и интуиция — такая мощная сила, когда они используются вместе. Доверяйте тому, чему вы научились, и настраивайтесь на свою интуицию, чтобы сделать свой выбор рождения.
Когда ваша голова и сердце совпадают, вы будете знать, что вам нужно делать.
FAQ
Через какое время после раздела AC у вас может быть VBAC?
В зависимости от количества кесарева сечения медицинские эксперты рекомендуют подождать от 6 до 15 месяцев, прежде чем снова забеременеть. Таким образом, предлагаемый период для прохождения VBAC после кесарева сечения составляет 15-24 месяца . Такое долгое ожидание сводит к минимуму риск осложнений.
Трудно ли забеременеть после кесарева сечения?
Как правило, вы должны ожидать зачатия так же легко, как и в первый раз.Риск бесплодия из-за кесарева сечения повышается лишь в редких случаях.
Насколько вы фертильны после кесарева сечения?
Обычно кесарево сечение не влияет на вашу фертильность, и большинство медицинских экспертов рекомендуют подождать не менее 6 месяцев, прежде чем пытаться зачать ребенка. Некоторым может быть труднее зачать ребенка из-за типа разреза.
Что произойдет, если вы забеременеете сразу после кесарева сечения?
Исследования показывают, что если вы забеременеете сразу после кесарева сечения, вероятность разрыва матки у вас в 2–3 раза выше.
Сколько времени нужно, чтобы кесарево сечение зажило изнутри?
Типичное заживление после кесарева сечения составляет шесть месяцев, хотя всему телу требуется 12 месяцев, прежде чем оно вернется в «нормальное состояние».
Ищете доулу, которая поможет вам с VBAC? Загляните в наш каталог «Doulas Near Me», чтобы найти идеального партнера в вашем районе.
Повторение кесарева сечения: есть ли предел?
Сколько кесарева сечения можно безопасно сделать женщинам?
Ответ Ивонн Батлер Тобах, М.Д.Каждое повторное кесарево сечение обычно сложнее предыдущего. Однако исследования не установили точное количество повторных кесарева сечения, считающихся безопасными.
Женщины, перенесшие многократное повторное кесарево сечение, подвергаются повышенному риску:
- Проблемы с плацентой. Чем больше у вас было кесарева сечения, тем выше риск развития проблем с плацентой, таких как имплантация плаценты слишком глубоко в стенку матки (приращение плаценты) или плацента, частично или полностью закрывающая отверстие шейки матки. (предлежание плаценты).Оба состояния увеличивают риск преждевременных родов, чрезмерного кровотечения и необходимости переливания крови и хирургического удаления матки (гистерэктомия).
- Осложнения спаек. Во время каждого кесарева сечения образуются полоски рубцовидной ткани (спайки). Плотные спайки могут затруднить кесарево сечение и увеличить риск травмы мочевого пузыря или кишечника и чрезмерного кровотечения.
- Осложнения, связанные с разрезом. Риск проблем, связанных с разрезом, таких как грыжа, увеличивается по мере увеличения количества предыдущих разрезов брюшной полости.Может потребоваться хирургический ремонт.
Количество сделанных кесарево сечений также может повлиять на ваши будущие варианты доставки. Пробные роды не рекомендуются после трех или более предшествующих кесарева сечения.
Решение о том, как вы будете родить следующего ребенка после предыдущего кесарева сечения, может быть сложным решением. Поговорите со своим врачом. Он или она может помочь вам сопоставить риски повторного кесарева сечения с вашим желанием забеременеть в будущем.
с
Ивонн Батлер Тобах, М.Д.
25 июня 2020 г. Показать ссылки- Бергелла В. Повторное кесарево сечение. https://www.uptodate.com/contents/search. По состоянию на 17 февраля 2020 г.
- Американский колледж акушеров и гинекологов. Мнение Комитета № 761: Кесарево сечение по требованию матери. Акушерство и гинекология. 2019; DOI: 10.1097 / AOG.0000000000003006.
.
VBAC: знайте плюсы и минусы
VBAC: знайте плюсы и минусы
Интересно, подходите ли вы для VBAC? Если преимущества VBAC перевешивают риски? Ответ может быть на ваше усмотрение.Вот поможет взвесить все за и против.
Персонал клиники МэйоМногие женщины являются кандидатами на вагинальные роды после кесарева сечения (VBAC). В 2013 году доля успешных женщин в США, которые пытались провести пробные роды (TOLAC) после одного предыдущего кесарева сечения, составила 70%.
Тем не менее, выбор продолжить VBAC или запланировать повторное кесарево сечение может быть трудным. Вот представление о том, как принять решение.
Почему стоит рассмотреть VBAC?
По сравнению с другим кесаревым сечением, вагинальные роды не предполагают хирургического вмешательства, никаких возможных хирургических осложнений, более короткое пребывание в больнице и более быстрое возвращение к нормальной повседневной деятельности. VBAC также может быть привлекательным, если вы хотите рожать естественным путем.
Важно учитывать и будущую беременность. Если вы планируете больше беременностей, VBAC может помочь вам избежать рисков множественных родов с помощью кесарева сечения, таких как проблемы с плацентой.
Каковы риски VBAC?
В то время как успешный VBAC связан с меньшим количеством осложнений, чем плановое повторное кесарево сечение, неудачное испытание родов после кесарева сечения связано с большим количеством осложнений, включая разрыв матки.Разрыв матки случается редко, менее чем у 1% женщин, которые пытаются роды после кесарева сечения. Однако разрыв матки опасен для жизни вас и вашего ребенка. Во время разрыва матки рубец после кесарева сечения на матке разрывается. Экстренное кесарево сечение необходимо для предотвращения опасных для жизни осложнений. Лечение может включать хирургическое удаление матки (гистерэктомия). Если у вас удалена матка, вы не сможете снова забеременеть.
Кто имеет право на VBAC?
Право на участие в программе VBAC зависит от многих факторов.Например:
- Какой разрез матки использовался для предыдущего кесарева сечения? В большинстве кесарева сечения используется низкий поперечный разрез. Женщины, у которых был низкий поперечный или низкий вертикальный разрез, обычно являются кандидатами VBAC . Если у вас ранее был высокий вертикальный (классический) разрез, VBAC не рекомендуется из-за риска разрыва матки.
- Был ли у вас разрыв матки? Если да, то вы не кандидат на VBAC .
- Были ли у вас операции на матке? Если у вас были другие операции на матке, например, удаление миомы, VBAC не рекомендуется из-за риска разрыва матки.
- Были ли у вас в прошлом роды через естественные родовые пути? вагинальные роды хотя бы один раз до или после предыдущего кесарева сечения увеличивают вероятность успешного исхода. VBAC .
- Сколько у вас кесарева сечения? Многие поставщики медицинских услуг не будут предлагать VBAC , если у вас было более двух предыдущих кесарева сечения.
- Когда вы в последний раз рожали? Риск разрыва матки выше, если вы попробуете VBAC менее чем через 18 месяцев после предыдущих родов.
- Есть ли у вас проблемы со здоровьем, которые могут повлиять на вагинальные роды? Кесарево сечение может быть рекомендовано, если у вас проблемы с плацентой, ваш ребенок находится в ненормальном положении, или вы носите тройню или более высокую ступень.
- Где вы родите ребенка? Запланируйте доставку в учреждение, оборудованное для обработки экстренного кесарева сечения.Доставка на дом не подходит для VBAC .
- Вам нужно будет побудить? Стимулирование родов снижает вероятность успешного VBAC .
Чем роды во время VBAC отличаются от родов и родов во время обычных вагинальных родов?
Если вы выберете VBAC , когда вы начнете роды, вы будете следовать процессу, аналогичному тому, который используется при любых родах через естественные родовые пути. Однако ваш лечащий врач, скорее всего, порекомендует непрерывно контролировать частоту сердечных сокращений вашего ребенка и будет готов сделать повторное кесарево сечение, если это необходимо.
Какой еще совет вы дадите женщинам, которые рассматривают возможность VBAC?
Если вы рассматриваете вариант VBAC , обсудите этот вариант, свои проблемы и ожидания со своим врачом на ранних сроках беременности. Убедитесь, что у него или нее есть полная история болезни, включая записи о вашем предыдущем кесаревом сечении и любых других процедурах на матке. Ваш лечащий врач может рассчитать вероятность того, что у вас будет успешный тест VBAC .
Кроме того, запланируйте роды в учреждении, которое оборудовано для проведения экстренного кесарева сечения.Продолжайте обсуждение рисков и преимуществ VBAC на протяжении всей беременности, особенно при возникновении определенных факторов риска.
Прежде всего, старайтесь оставаться гибкими. Обстоятельства ваших родов могут сделать VBAC очевидным выбором, или после консультации вы и ваш лечащий врач можете решить, что повторное кесарево сечение все-таки будет лучше.
23 июня 2020 г. Показать ссылки- Мец ТД. Выбор маршрута родов после кесарева сечения.https://www.uptodate.com/contents/search. Доступ 13 февраля 2020 г.
- Американский колледж акушеров и гинекологов. Практический бюллетень № 205: Вагинальные роды после кесарева сечения. Акушерство и гинекология. 2019; DOI: 10.1097 / AOG.0000000000003078.
- AskMayoExpert. Вагинальные роды после кесарева сечения (VBAC). Клиника Майо; 2019.
- Часто задаваемые вопросы. Роды, роды и послеродовой уход FAQ070. Вагинальные роды после кесарева сечения. Американский колледж акушеров и гинекологов.https://www.acog.org/Patients/FAQs/Vaginal-Birth-After-Cesarean-Delivery. Доступ 13 февраля 2020 г.
- Габбе С.Г. и др., Ред. Вагинальные роды после кесарева сечения. В кн .: Акушерство: нормальная и проблемная беременность. 7-е изд. Эльзевир; 2017. https://www.clinicalkey.com. По состоянию на 14 февраля 2020 г.
- Разрыв матки. Руководство Merck Professional Version. https://www.merckmanuals.com/professional/gynecology-and-obstetrics/abnormalities-and-complications-of-labor-and-delivery/uterine-rupture#.По состоянию на 14 февраля 2020 г.
.
Сколько у вас может быть кесарева сечения: риски повторения кесарева сечения
Последние исследования показывают, что чем больше у вас будет операций кесарева сечения, тем более рискованными становятся последующие операции для вас и вашего ребенка. Однако обстоятельства меняются и играют роль в определении того, перевешивают ли преимущества повторного кесарева сечения риски.
Риск повторения кесарева сечения
Кесарево сечение — это операция по спасению жизни, но, как и другие серьезные операции, она сопряжена с риском. Когда хирург разрезает слои кожи, мышц и органов, остается рубцовая ткань. Рубец после кесарева сечения может привести к осложнениям при будущих беременностях со стороны матки, плаценты и живота. Чем чаще делаются разрезы, тем выше риск осложнений.
Риски во время беременности
После кесарева сечения риск предлежания плаценты при будущих беременностях увеличивается на 1.5-6 раз. Предлежание плаценты — это состояние, при котором плацента разрастается над шейным отверстием. Чем больше у вас кесарева сечения, тем выше риск предлежания плаценты.
Другие осложнения со стороны плаценты, которые могут возникнуть в результате предшествующего кесарева сечения, включают приращение плаценты, приращение плаценты и перкрета плаценты. Все эти осложнения вместе называют спектром приросшей плаценты. Они представляют собой диапазон прилипания плаценты к стенке матки.
Заболеваемость спектром приросшей плаценты резко возросла с 1970-х годов, когда она составляла 1 случай на 2500.Совсем недавно исследование 2016 года показало, что этот показатель в США составляет 1 из 272. Увеличение факторов риска, а именно резкое увеличение числа случаев кесарева сечения за этот период времени, является вероятной причиной резкого роста заболеваемости.
Риск спектра приросшей плаценты значительно увеличивается с увеличением количества кесарева сечения в анамнезе. Риск колеблется от 0,3% после одного кесарева сечения до 6,74% после пяти кесарева сечения.
Разрыв матки происходит в 0,5% случаев при беременности с предшествующим кесаревым сечением.Риск разрыва возрастает при наличии классического рубца после разреза, индукции или увеличения родов, плода крупнее среднего, старшего возраста матери и послеродовых родов. Риск разрыва матки увеличивается с увеличением количества кесарева сечения в анамнезе.
Риски при родах
Как и в любой хирургической операции, существует риск того, что хирург может случайно порезать и повредить окружающие ткани и органы. В частности, есть риск травмы кишечника и мочевого пузыря.
Спайки — еще одно возможное осложнение кесарева сечения.Спайки возникают, когда рубцовая ткань соединяет ткани и органы, которые обычно не прикреплены.
Спайки усложняют будущие операции, затрудняя вскрытие матки и увеличивая время операции. Наличие спаек также связано с повышенным риском повреждения мочевого пузыря. Частота спаек увеличивается с последующими кесаревыми сечениями.
Обильное кровотечение — фактор риска любого хирургического вмешательства, в том числе кесарева сечения. По сравнению с естественными родами, роды путем кесарева сечения сопряжены с самым высоким риском послеродового кровотечения (ПРК).
Исследования показывают, что общая анестезия увеличивает риск ПРК в три раза, но это может быть связано с тем, что люди с факторами риска ПРК с большей вероятностью будут получать общую анестезию. Другие факторы риска включают анемию, предлежание плаценты, многоплодную беременность и хориоамнионит. Риск сильного кровотечения увеличивается с каждым проведением кесарева сечения.
Риски после родов
Существует тесная связь между пластикой послеоперационной грыжи и предшествующим кесаревым сечением. Риск герниопластики увеличивается с увеличением количества операций кесарева сечения.У людей, перенесших два или более кесарева сечения, риск в три раза выше, чем у тех, кто перенес только одно кесарево сечение. После пяти операций кесарева сечения риск увеличивается в шесть раз.
Эндометриоз рубцов может возникнуть после кесарева сечения. Исследователи обнаружили, что это может произойти через месяцы или даже годы после операции, а средний срок возникновения — 30 месяцев. Заболеваемость составляет от 0,03% до 1,7%. Риск вдвое выше, чем у тех, кто рожает естественным путем. Одно проспективное исследование не показало доказательств того, что повторное кесарево сечение увеличивает риск.
У людей во время беременности в пять раз больше шансов развить опасный тромб. Роды с помощью кесарева сечения удваивают этот риск.
Инфекция в области хирургического вмешательства — одно из наиболее частых осложнений после кесарева сечения. Заболеваемость составляет от 3% до 15%. Инфекция раны связана с материнской смертностью до 3%. Некротический фасциит — тяжелое осложнение, связанное с гангренозной инфекцией. Некротический фасциит опасен для жизни со смертностью до 50%.
Как снизить риск
Риски не абсолютны. Когда дело доходит до оценки риска кесарева сечения, необходимо учитывать ваше общее состояние здоровья и беременность. Если вам нужно кесарево сечение, иногда есть способы снизить риски.
Причина первого кесарево сечения
Первичное кесарево сечение связано с риском само по себе, но оно также создает почву для повышенного риска будущих беременностей и родов. Если вы планируете иметь больше детей, крайне важно учитывать риски первичного кесарева сечения для будущих беременностей.ACOG не рекомендует делать кесарево сечение без медицинских показаний.
Если у вас ранее было кесарево сечение, повторное кесарево сечение — не единственный ваш выбор. Вагинальные роды после кесарева сечения (VBAC) — это вариант для многих людей при определенных обстоятельствах.
Срок последующей беременности
Беременность, наступившая менее чем через шесть месяцев после последнего кесарева сечения, подвержена большему риску неблагоприятных исходов. В частности, риск разрыва матки выше у женщин с более короткими интервалами между беременностями.С другой стороны, интервалы более 5-10 лет также связаны с повышенным риском неблагоприятных исходов.
Использование противозачаточных средств между беременностями может помочь снизить эти риски. Поговорите со своим врачом о том, какие противозачаточные средства лучше всего подходят для ваших обстоятельств.
Время повторения кесарева сечения
Исследования показали, что если кто-то перенес несколько операций кесарева сечения, выбор времени для повторного кесарева сечения может снизить риск заболеваемости.В частности, исследование 2019 года показало, что материнская и неонатальная заболеваемость возникала реже, когда роды происходили на сроке 39 недель. ACOG и Американская академия педиатрии (AAP) рекомендуют отложить запланированное кесарево сечение до 39 полных недель беременности.
Вагинальные роды после кесарева сечения (VBAC)
Пробные роды после кесарева сечения (ТОЛАК) — это попытка родов естественным путем после кесарева сечения. Вагинальные роды после кесарева сечения — желаемый результат TOLAC. VBAC являются важным вариантом для людей, перенесших кесарево сечение в анамнезе, поскольку они связаны со снижением материнской заболеваемости и уменьшением осложнений при будущих беременностях.
Разрыв матки является основным фактором риска, связанным с VBAC. Риск разрыва матки для людей, перенесших более одного кесарева сечения, составляет от 0,9% до 3,7%. Неизвестно, как это соотносится с теми, у кого было только одно кесарево сечение.
Хорошей новостью является то, что от 60% до 80% тех, кто пытается сделать VBAC, добиваются вагинальных родов.
ACOG поддерживает рассмотрение тех, кто ранее перенес два кесарева сечения с низко-поперечными разрезами, в качестве кандидатов на TOLAC.
Часто задаваемые вопросы
Люди с множественным кесаревым сечением более склонны к раку матки?
Эндометриоз рубцов — фактор риска для тех, кто рожал путем кесарева сечения. Иногда эти шрамы могут иметь злокачественную трансформацию. Заболеваемость неизвестна, но считается редкостью.
У вас есть несколько шрамов, когда у вас несколько кесарева сечения?
В идеале врач прорежет один и тот же шрам, чтобы на животе и матке не осталось нескольких шрамов.Иногда рубцовую ткань трудно прорезать, но ваш врач должен ее прорезать. Однако, если ребенка нужно срочно вытащить, он может сделать еще один разрез.
Слово от Verywell
Если вы планируете повторить кесарево сечение, возможно, вы чувствуете себя подавленным. Есть много информации, которую нужно разобрать. Хорошая новость в том, что у вас, вероятно, есть варианты. Поговорите со своим врачом о своих проблемах и способах снижения риска множественного кесарева сечения.Если вас интересует VBAC, спросите своего врача, подходите ли вы.
.



проводятся по показаниям, аналогичным у рожениц без рубца на матке
Я хотела VBAC после травматического экстренного кесарева сечения, нескольких выкидышей и тяжелой беременности. К сожалению, этого не произошло, но мое факультативное кесарево сечение было удивительно цивилизованным и полностью контрастировало с первым рождением! »