5 недель беременности после ЭКО
В медицинской практике используется акушерский метод подсчета гестационного периода, согласно которому 5 недель беременности после ЭКО соответствует 7 акушерским неделям. За точку отсчета берется первый день последней менструации перед зачатием. Эмбриональный период «отстает» от акушерского на две недели, потому что отсчитывается от момента наступления овуляции (середина менструального цикла).
Пятая неделя эмбрионального развития
Эмбриональный (истинный) срок беременности отсчитывается от первого дня последней менструации плюс еще две недели. Именно в середине цикла происходит овуляция, т.е. примерно на 14-й день после критических дней. Иными словами, 5 неделя эмбрионального развития соответствует 7 акушерской неделе.
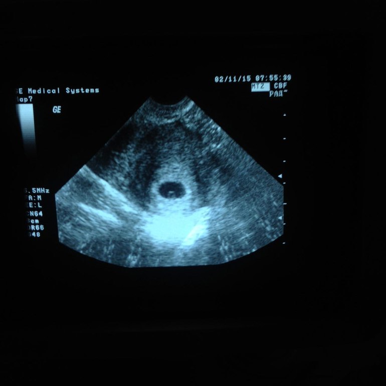
Через 14 дней после ЭКО проводится тест на ХГЧ, с помощью которого определяется факт наступления беременности. В случае успешного зачатия женщины проходят первое УЗИ уже на 5-й неделе гестации.
Обследование позволяет определить:
- Размеры матки;
- Расположение эмбриона;
- Количество прижившихся бластоцист;
- Наличие или отсутствие патологий в развитии плода.
Следует понимать, что эмбриологи определяют гестационный возраст плода не так, как акушеры. После ЭКО специалисты могут точно установить день зачатия, который отсчитывается от момента имплантации бластоцисты в матку.
В среднеэмбриональный период плод находится возле стенки желточного мешка, который с помощью УЗИ визуализируется как небольшая киста сферической формы с плодным яйцом внутри. Зародыш располагается внутри мешка эксцентрично, из-за чего на мониторе возникает типичная УЗ-картина «двойного пузыря».
На данном этапе эмбрионального развития многие органы и жизненно важные системы уже начинают свое развитие, но визуализировать их при помощи трансабдоминального УЗИ очень сложно.
Особенности развития эмбриона
5 неделя беременности соответствует началу второго акушерского месяца, т.е. с момента имплантации плодного яйца в эндометрий проходит около 29-35 дней. На ультразвуковом фото 5-недельный эмбрион имеет вид небольшого цилиндра протяженностью 6-7 мм. В этот период беременности можно различить зачатки рук и ног, а также ушные раковины и носовые щели зародыша.
Начиная с 5 недели гестации, происходит формирование поджелудочной железы, верхних отделов респираторного тракта и печени. Именно в этот период сердце ребенка делает свои первые удары, а кровеносная система продолжает свое активное развитие. В последние дни пятой недели беременности образуются зачатки костного мозга, щитовидная железа и отдельные элементы опорно-двигательного аппарата.
С помощью трансвагинальной эхографии можно различить глазные впадины и места развития внутреннего и наружного уха. Вследствие недоразвитости мягких тканей определить пол ребенка в раннем периоде гестации невозможно. Однако на снимках хорошо проглядывается пупочный канат и отдельные элементы эндокринной системы.
Ощущения матери
На сроке 5 недель после ЭКО женщины ощущают объективные изменения в своем организме, которые обусловлены повышением уровня ХГЧ в крови. Гормон продуцируется зародышем для ускорения процесса развития плодного места – плаценты. Также он оказывает существенное воздействие на гормональный фон матери и стимулирует секрецию женских половых гормонов.
Признаки беременности после ЭКО не отличаются от таковых при естественном зачатии ребенка:
- тошнота;
- отсутствие аппетита;
- рвотные позывы;
- увеличение грудных желез;
- потемнение ареола сосков;
- нарушение стула;
- токсикоз;
- изменение вкуса;
- эмоциональная лабильность;
- тяжесть в нижней части живота;
- повышение базальной температуры;
-
учащенное мочеиспускание.

Возникновение дополнительных симптомов (кровянистые выделения из влагалища, спастические боли в матке) является основанием для обращения за помощью к врачу.
Ведение беременности после ЭКО
Грамотная поддержка гестации снижает вероятность самопроизвольного аборта и аномального развития плода. Чтобы предотвратить осложнения, желательно в течение 6-8 недель после зачатия наблюдаться у специалистов клиники, в которой была проведена процедура ЭКО.
В первом триместре беременности пациентки должны регулярно проводить анализ крови для определения уровня:
- хорионического гонадотропина;
- эстрогена;
- прогестерона.
Невысокая концентрация стероидных гормонов является основанием для проведения корректирующей гормональной терапии. Следует понимать, что обычный акушер-гинеколог в отделении женской консультации не обладает достаточным опытом ведения пациенток, прошедших ЭКО.
При повышении риска прерывания беременности репродуктолог порекомендует пройти дополнительное обследование или лечь в стационар.
Осложнения при беременности
Индуцированная беременность чаще протекает с осложнениями, чем беременность, наступившая в результате естественного зачатия. Это связано с наличие у пациентов нарушений в работе репродуктивной системы, которые и стали причиной обращения супружеской пары к вспомогательным репродуктивным технологиям.
Согласно статистике, гестация в 90% случаев прерывается в первые три месяца после зачатия. На вероятность возникновения осложнений влияют следующие факторы:
- иммунная совместимость партнеров;
- фертильный возраст женщины;
- колебания гормонального фона;
- развитие или обострение инфекционных заболеваний.
К наиболее вероятным осложнениям относят замирание беременности, которое чаще диагностируется у пациенток после 40 лет.
В 83% случаев эмбрион прекращает свое развитие на сроке до 11-12 недель, что может быть связано со снижением в организме уровня эстрадиола или прогестерона. Чтобы предотвратить гибель плода, многим женщинам в первом триместре беременности после ЭКО назначается поддерживающая гормональная терапия.
Запись на услугу
Я согласен на обработку моих персональных данных
Я ознакомлен с правилами внутреннего распорядка
Пользовательское соглашение сервисов АО «К+31»
Узнавай все о седьмой неделе беременности на сайте Nutricia club
Прошло уже почти два месяца с того момента, как вы стали будущей мамой. Уверены, что у вас есть много вопросов о течении и особенностях 7 недели беременности. Мы собрали самые распространенные вопросы и подготовили на них ответы. Давайте подробно разберемся, какие изменения нам приготовила седьмая неделя беременности и что изменится в ближайшее время.
Структура статьи
Ощущения характерные для 7 недели беременности
Отсутствие менструации
Гипофиз, который управляет различными веществами в вашем теле, снизил образование гормонов, регулирующих менструальную функцию. А за счет беременности новые яйцеклетки не готовятся к оплодотворению. Но одного лишь отсутствия менструации будет недостаточно, чтобы убедиться в своей беременности. Это лишь одно из проявлений, которое может быть вызвано различными причинами.
Утренняя тошнота
Достаточно типичным проявлением первого триместра беременности является ощущение тошноты, возникающее чаще всего утром. Важно, чтобы это не стало причиной нарушения рационального питания и не портило вам настроение! Свежий воздух и переключение внимания на что-то приятное помогут преодолеть эпизоды утренней тошноты. Как только она пройдет – отправляйтесь с малышом на завтрак.
Слабость и головокружение
На данном этапе ваш организм тратит много энергии на обеспечение роста и развития малыша.
Вполне нормальными являются эпизоды легкого головокружения и желание спать. Больше отдыхайте и набирайтесь сил – дела подождут. Если вы чувствуете головокружение постоянно – обязательно проконсультируйтесь с врачом-гинекологом.
Перепады настроения и эмоциональность
В течение 7 недели беременности происходит гормональная перестройка организма. Эти изменения влияют почти на все системы органов, а также на ваше настроение. Ничего страшного, если вам хочется плакать или, наоборот, смеяться либо одновременно и то и другое. Не бойтесь своих эмоций и давайте им свободу.
Увеличение веса тела
Пожалуй, это то, чего боятся почти все женщины. Иногда случается так, что формы увеличиваются и могут появиться растяжки. Но если придерживаться всех рекомендаций (которые будут приведены в статье), этого можно избежать. А после родов вес вернется в ваши обычные пределы.
Эндокринная система
На седьмой неделе беременности происходит перестройка обменных процессов, а также эндокринной системы.
В этот период может слегка увеличиться щитовидная железа, что является нормальным физиологическим процессом. Но регулярно проходите осмотр у врача-гинеколога и эндокринолога, ваша безопасность сейчас – главное в семье.
Ручки и ножки
Хрящевая ткань дала начало костно-мышечной системе. Ножки сейчас похожи на короткие плавники, а руки уже разделились на плечо и предплечье. На концах рук и ног появились кистевые перепонки, именно из них скоро сформируются пальцы малыша. Он сможет сжать свой кулачок и слегка постучать вам – поздороваться с мамой!
Это орган, который развивается всю жизнь, с эмбрионального периода и после рождения. В этот период сформировались его базовые структуры. Развитие мозга продолжается в течение долгого времени, даже после рождения. Но базовые его структуры уже сформированы. В течение 7 недели беременности он разделится на переднюю, среднюю и заднюю части. Передняя будет отвечать за мышление вашего будущего гения и выполнение логических задач, формировать и хранить воспоминания.
Средняя – за передачу нервных сигналов в организме. А задняя будет контролировать дыхание и пульс.
Дыхательная система
В этот период активно развиваются легкие. В них появляются зачатки бронхов и продолжает формироваться трахея.
Половая система
Именно на этапе беременности 7 недель начинают формироваться и развиваться яичники у девочек или яички у мальчиков. Еще немного, и вы сможете устроить Gender Reveal Party – вечеринку по поводу определения пола будущего ребенка!
Характерные для 7 недели признаки:
Может ухудшиться состояние кожи и волос
Появление пигментации или увеличение пор свидетельствует о недостаточности для матери питательных веществ, витаминов и минералов.
Увеличение матки в размерах
Этот процесс происходит для того, чтобы растущий малыш чувствовал себя комфортно. На седьмой неделе беременности матка по размерам сравнима с апельсином. Из-за увеличения она может давить на окружающие органы.
Именно поэтому вы чувствуете тягу к частому мочеиспусканию.
Увеличивается в размерах грудь и темнеют ареолы
На молочных железах может появиться венозная сеточка. Для этого периода характерны болезненность и неприятные покалывания в грудях. Скажите об этом мужу – он поймет.
Изменения гормонального фона
Большинство изменений, происходящих в вашем организме, вызваны эстрогеном и прогестероном. Они влияют на матку, способствуют ее росту и улучшают кровоснабжение. Именно прогестерон не дает матке чрезмерно сокращаться, потому что внутри нее находится плод.
Общая слабость и постоянное желание поспать
Это типичные проявления беременности, между которыми часто наблюдаются перепады настроения и эмоций.
Тошнота и расстройства пищеварения
Тошнота, которая чаще возникает утром или под влиянием резких запахов. Также у некоторых женщин наблюдаются расстройства пищеварения и может тянуть низ живота. Если эти симптомы ярко выражены, следует обязательно обратиться к вашему врачу-гинекологу.
Своевременные и регулярные обследования в свою очередь способствуют своевременному выявлению и лечению осложнений, которые могут случиться на 7 неделе беременности.
Категорически нужно отказаться от употребления спиртных напитков и курения, поскольку это может привести к развитию внутриутробных патологий и прерыванию беременности.
Источники
ПродолжитьПопулярные
публикации
Гестационный возраст: Медицинская энциклопедия MedlinePlus
URL этой страницы: //medlineplus.gov/ency/article/002367.htm
Чтобы использовать функции обмена на этой странице, включите JavaScript.
Беременность — это период времени между зачатием и рождением. В это время ребенок растет и развивается в утробе матери.
Гестационный возраст — это общий термин, используемый во время беременности для описания срока беременности. Он измеряется в неделях, от первого дня последнего менструального цикла женщины до текущей даты.
Младенцы, рожденные до 37 недель, считаются недоношенными. Младенцы, рожденные после 42 недель, считаются переношенными.
Гестационный возраст можно определить до или после рождения.
- Перед родами ваш лечащий врач будет использовать ультразвук для измерения размера головы, живота и бедренной кости ребенка. Это дает представление о том, насколько хорошо ребенок растет в утробе матери.
- После рождения гестационный возраст можно определить, взглянув на вес ребенка, длину тела, окружность головы, жизненные показатели, рефлексы, мышечный тонус, осанку и состояние кожи и волос.
Если данные о гестационном возрасте ребенка после рождения совпадают с календарным возрастом, говорят, что ребенок соответствует гестационному возрасту (AGA). Младенцы с АГА имеют более низкие показатели проблем и смертности, чем дети, которые малы или велики для своего гестационного возраста.
Вес доношенных детей, рожденных с AGA, чаще всего составляет от 2500 граммов (около 5,5 фунтов или 2,5 кг) до 4000 граммов (около 8,75 фунтов или 4 кг).
- Младенцы с меньшим весом считаются маленькими для гестационного возраста (SGA).
- Младенцы с большей массой тела считаются крупными для гестационного возраста (LGA).
Возраст плода — срок беременности; Беременность; Неонатальный гестационный возраст; Новорожденный гестационный возраст
Болл Дж.В., Дайнс Дж.Е., Флинн Дж.А., Соломон Б.С., Стюарт Р.В. Рост и питание. В: Болл Дж. В., Дейнс Дж. Э., Флинн Дж. А., Соломон Б. С., Стюарт Р. В., ред. Руководство Зиделя по физикальному обследованию . 9-е изд. Сент-Луис, Миссури: Elsevier; 2019: глава 8.
Benson CB, Doubilet PM. Измерения плода: нормальный и аномальный рост плода и оценка состояния плода. В: Rumack CM, Levine D, ред. Ультразвуковая диагностика . 5-е изд. Филадельфия, Пенсильвания: Elsevier; 2018: глава 42.
Грэм GM, Park JS, Norwitz ER. Дородовое обследование и терапия плода. В: Chestnut DH, Wong CA, Tsen LC, et al, eds. Акушерская анестезия Каштана: принципы и практика .
6-е изд. Филадельфия, Пенсильвания: Elsevier; 2020: глава 6.
Гоял Н.К. Новорожденный младенец. В: Kliegman RM, St. Geme JW, Blum NJ, Shah SS, Tasker RC, Wilson KM, eds. Учебник педиатрии Нельсона . 21-е изд. Филадельфия, Пенсильвания: Elsevier; 2020: глава 113.
Нок М.Л., Оликер А.Л. Таблицы нормальных значений. В: Мартин Р.Дж., Фанарофф А.А., Уолш М.К., ред.
Уокер В.П. Оценка новорожденного. В: Gleason CA, Juul SE, ред. Болезни Эйвери у новорожденных . 10-е изд. Филадельфия, Пенсильвания: Elsevier; 2018: глава 25.
Обновлено: Нил К. Канеширо, доктор медицинских наук, MHA, клинический профессор педиатрии Медицинской школы Вашингтонского университета, Сиэтл, Вашингтон. Также рассмотрены Дэвидом Зивом, доктором медицины, MHA, медицинским директором, Брендой Конауэй, редакционным директором, и A.
D.A.M. Редакционная коллегия.
Изменится ли мой менструальный цикл после беременности? | Ваша беременность имеет значение
×
Что мы можем помочь Вам найти?Уточните поиск: Найти доктора Условия поиска и процедуры Найти местоположение
Деловое свидание, встреча
Назначение нового пациента
или позвоните по номеру 214-645-8300
МедБлог
Ваша беременность имеет значение
12 октября 2021 г.
Ваша беременность имеет значение
Шивани Патель, доктор медицины Акушерство и гинекология
Роды меняют менструальный цикл большинства молодых мам, но у всех он разный.
Многие новоиспеченные мамы удивляются тому, сколько крови у них идет после родов. В течение двух-трех недель после вагинального родоразрешения или кесарева сечения (кесарева сечения) у них наблюдаются обильные менструации. Это называется лохиями, смесью крови и ткани матки, которая не нужна организму после беременности.
Как и менструация, она обычно начинается тяжелой и со временем становится светлее, в конце концов заканчиваясь небольшими пятнами. Цвет будет переходить от темно-красного к коричневато-розовому и не совсем белому. Однако у вас еще не происходит регулярной овуляции — выделения яйцеклеток из яичников — поэтому лохии не являются настоящим менструальным периодом.
Спазмы еще больше стирают грань между лохиями и менструальным кровотечением. Ваша матка увеличивается в несколько раз, чтобы не отставать от роста вашего ребенка; после рождения он снова сжимается. Сокращения мышц в результате этого процесса напоминают менструальные спазмы.
Уход за новорожденным займет большую часть вашего внимания, но обязательно следите за количеством крови, которую вы теряете в течение первых нескольких недель после родов. До 5% пациенток испытывают неконтролируемое кровотечение или послеродовое кровотечение, состояние, сопровождающееся такими симптомами, как низкое кровяное давление, бледность кожи и тошнота.
Если ваша кровопотеря кажется чрезмерной, немедленно обратитесь к врачу. После того, как лохии заканчиваются, сроки, течение и продолжительность менструаций у каждой женщины различаются, но существует достаточно сходства, чтобы ответить на общие вопросы о послеродовой менструации.
Когда следует ожидать первых месячных после беременности?
Первая менструация может наступить в любое время между двумя и 12 неделями после родов. У большинства женщин это происходит между шестью и 12 неделями .
Если вы кормите исключительно грудью, менструация, скорее всего, будет откладываться до тех пор, пока вы не начнете давать ребенку твердую пищу и другие виды молока.
По мере увеличения уровня пролактина — гормона, который помогает организму вырабатывать молоко, — уровень эстрогена и прогестерона снижается. Эти гормоны помогают регулировать ваш период; более низкие уровни снижают вероятность овуляции и менструации.
Пока вы испытываете лохии, ваши выделения будут вести себя как типичный период: сначала более тяжелые, затем постепенно ослабевающие. Однако, если количество крови увеличивается после нескольких легких дней, рассмотрите возможность снижения уровня активности на несколько дней, чтобы ваше тело могло отдохнуть и восстановиться после родов.
По теме: «Четвертый триместр»: почему женщинам нужна медицинская помощь после родов
Будут ли мои месячные выглядеть или ощущаться по-другому?
У большинства женщин первые несколько менструаций после родов могут быть более обильными, чем до беременности. Менструальная кровь должна выглядеть так, как вы ожидаете: ярко-красный цвет, переходящий в более темный, коричневато-красный.
Вы можете увидеть маленькие сгустки в первый раз, но не должны видеть большие сгустки (размером со сливу или мяч для гольфа). Если да, сообщите об этом своему провайдеру.
Некоторые исследования показали, что рубцы после кесарева сечения могут усиливать менструальные боли и выделения. В целом, симптомы послеродового периода будут похожи на симптомы до беременности, поэтому, если у вас раньше были судороги, они, вероятно, возобновятся. Тем не менее, некоторые пациенты говорят, что их менструальные боли уменьшаются после беременности.
Связанное чтение: Что происходит с моей маткой? 3 состояния, связанные с тазовой болью и кровотечением
Насколько регулярным будет мой менструальный цикл?
Месячные могут занять от до года, прежде чем они станут регулярными, независимо от того, насколько они были постоянными до беременности. Чтобы развиваться, расти и родить ребенка, ваше тело претерпевает несколько гормональных изменений, и ему нужно время, чтобы вернуться к нормальной жизни.
У кормящих матерей еще больше шансов иметь нерегулярный менструальный цикл. Когда вы кормите грудью, в вашем организме снижается уровень эстрогена — гормона, который колеблется в зависимости от менструации. Без нормальных колебаний уровня эстрогена у вас не будет нормальных менструаций.
Независимо от того, кормите ли вы грудью, не пугайтесь, если вторая менструация задерживается, если только вы недавно не занимались незащищенным сексом.
Вы можете ассоциировать посттравматическое стрессовое расстройство с выжившими после нападения, войны или стихийных бедствий. Но, как скажет вам доктор Шивани Патель, специалист по охране материнства и плода, симптомы посттравматического стрессового расстройства могут быть тяжелым бременем для матерей, у которых была сложная беременность. Она знает это по личному опыту.
Учить больше
Предотвращение послеродовой беременности
Если вы занимаетесь сексом без надежной формы контроля над рождаемостью, вы можете забеременеть – даже в первые несколько недель после родов.
Большинство беременностей, наступивших менее чем через год после предыдущих родов, являются незапланированными.
У вас начнется овуляция в период между родами и первой менструацией — до шести недель после родов, что обычно совпадает с периодом времени, который мы рекомендуем вам ждать до начала полового акта.
Похожие материалы: Противозачаточные средства после родов: долгосрочные возможности для молодых мам
Рекомендации, основанные на исследованиях, предполагают интервал между беременностями не менее 12–18 месяцев. Послеродовая беременность может помешать вашему телу полностью восстановиться после родов и подвергнуть вашего ребенка риску преждевременных родов и младенческой смертности. Исследование CDC также показало, что более короткий промежуток времени между рождениями связан с расстройством аутистического спектра.
Риски зависят от вашего возраста. Итак, если вы хотите снова забеременеть вскоре после родов, поработайте со своим врачом, чтобы разработать безопасный план, соответствующий вашей ситуации.
Послеродовое кровотечение может сбивать с толку. Мы здесь, чтобы внести ясность. Чтобы посетить акушера-гинеколога, позвоните по телефону 214-645-8300 или запишитесь на прием онлайн.
Больше: Ваша беременность имеет значение
Душевное здоровье; Ваша беременность имеет значение
- Робин Хорсагер-Бёрер, доктор медицины
11 октября 2022 г.
Профилактика; Ваша беременность имеет значение
- Робин Хорсагер-Бёрер, доктор медицины
4 октября 2022 г.
Душевное здоровье; Ваша беременность имеет значение
- Мейтра Доти, доктор медицины
27 сентября 2022 г.
Ваша беременность имеет значение
- Робин Хорсагер-Бёрер, доктор медицины
20 сентября 2022 г.
Здоровье мужчины; Женское здоровье; Ваша беременность имеет значение
- Яир Лотан, доктор медицины
6 сентября 2022 г.
Ваша беременность имеет значение
29 августа, 2022 г.
Ваша беременность имеет значение
- Патрисия Сантьяго-Муньос, доктор медицины
23 августа 2022 г.
Душевное здоровье; Ваша беременность имеет значение
11 августа 2022 г.
