Раннее ультразвуковое исследование плода
На 6-11-й неделе беременности может возникнуть необходимость выполнения ультразвукового исследования при помощи вагинального датчика. Рекомендуется прийти на исследование с пустым мочевым пузырем. Лучшее время для выполнения ультразвукового исследования — через две-три недели после пропущенной менструации.
Уже на первой неделе задержки менструации беременность может быть видна в маточной полости в виде маленького пузырька жидкости. Следующим появляется плодное яйцо, которое видится в маточной полости тёмным чётким кружком, окруженным в качестве надежного признака более светлой зоной. Это указывает на наличие зачатка плаценты. Затем внутри плодового яйца будет виден желточный мешок, в котором формируется первичное кровообращение плода.
Обычно плод будет виден по завершении 5-ой недели беременности. Начиная с этого срока также можно измерять длину плода. Сердечная деятельность плода будет видна с 6-ой недели беременности и это подтверждает благоприятное протекание беременности.
Наступает период быстрого роста плода. Он растет 1 мм в сутки. Лучшее время для первичного ультразвукового исследования при беременности — 7-ая неделя беременности, когда длина плода составляет 10 мм и его сердечная деятельность отчётливо видна. На этой стадии беременности частота сердцебиения плода составляет более 110 раз в минуту.
Целью ультразвукового исследования является:
- Оценка жизнеспособности плода. При наличии биения сердца у плода риск прерывания беременности снижается до 10 раз.
- Выявление количества эмбрионов/плодов и плацент. 2% беременностей являются двуплодными.
- Диагностика внематочной беременности, которая в случае необнаружения может представлять опасность для жизни беременной.
- Уточнение срока беременности и предполагаемой даты родов.
Вышеописанное ультразвуковое исследование особенно важно для женщин, подозревающих у себя наличие беременности и страдающих болью внизу живота или кровотечением, или женщин, у которых имели место частые выкидыши или внематочная беременность.
Видео: 10. неделя беременности плода. Dr. Marek Šois
УЗИ на ранних сроках беременности
Две полоски на тесте — всегда полная неожиданность для женщины, даже если она в душе уже знает о своем положении. После первого подтверждения девушка чаще всего хочет увидеть малыша своими глазами и убедиться в его нормальном развитии. Это можно сделать с помощью такого инструментального метода, как УЗИ. Обычно у будущих мам, особенно ожидающих первого ребенка, появляется множество вопросов.
Как не пропустить внематочную и неразвивающуюся беременности
Часто беременные в самом начале опасаются двух состояний — внематочной или замершей беременностей. Особенно переживают те, кто уже единожды это пережил.
При внематочной беременности плодное яйцо не добирается до матки и имплантируется в других местах — чаще всего это маточные трубы. Если ничего не делать, то эмбрион будет расти и разорвет трубу. В этом случае женщину можно не спасти.
Поэтому внематочную беременность нужно без раздумий прерывать. Так как эмбрион отдельно не удаляется, вырезают целиком трубу. Проделать это можно дважды в жизни, после чего беременность наступает только после искусственной подсадки с помощью ЭКО. Заподозрить внематочную беременность можно косвенно по уровню β-ХГЧ, но однозначно опровергает ее только присутствие плодного яйца в матке на УЗИ.
Но на этом переживания будущей мамы не заканчиваются. Замершую беременность предсказать невозможно. В некоторых случаях врачи разводят руками, и почему так произошло остается неизвестным. Долго ждать, пока неразвивающееся яйцо выйдет само — опасно, так как оно может начать разлагаться, а матка — воспалиться. До 6 недель гинеколог может предложить менее травматичное медикаментозное прерывание, а после — классические абортивные методы. Однозначно выявить замершую можно только по УЗИ — на нем видно, что плодное яйцо меньше, чем должно быть для своего срока или не слышно сердцебиения. Наобум такой диагноз никогда не ставят, ведь от него зависит жизнь будущего ребенка, и чаще всего снова назначают УЗИ через несколько дней.
Для чего необходимо УЗИ на раннем сроке
Ультразвуковая диагностика — безопасный метод, не имеющий противопоказаний. Но делать его до 4-5 недель бессмысленно, плодное яйцо так рано не разглядеть. В этом случае при УЗИ используют трансвагинальный датчик. В государственных клиниках первая ультразвуковая диагностика проводится в рамках первого скрининга в 12 недель, а раньше ее назначают, только если саму женщину или ее лечащего врача что-то беспокоит:
- женщина жалуется на боли в нижней части абдоминальной области и кровянистую “мазню”;
- будущая мама имеет серьезные хронические заболевания;
- беременность наступила, хотя пара предохранялась с помощью спирали;
- пациентка принимала опасные и тяжелые лекарства, перенесла инфекцию, была облучена. Хотя до 4 недель обычно действует принцип “все или ничего”, врачи рекомендуют обследоваться;
- в анамнезе у самой будущей мамы и ее родни были многоплодные беременности;
- эмбрион подсаживался с помощью ЭКО;
- врач подозревает пузырный занос, внематочную или замершую беременность;
- у пациентки диагностированы разные образования в матке и яичниках;
- если есть риск развития генетических аномалий (например, до этого уже были прерванные беременности из-за пороков развития, хромосомных нарушений).

Во всех остальных случаях женщина может по собственному желанию сделать УЗИ платно. В Калуге можно пройти обследование в клинике Элита. Наши врачи работают на современном высокоточном оборудовании и имеют большой опыт в инструментальной диагностике.
Сделать УЗИ при беременности 1, 2, 3 триместр
Контроль над состоянием здоровья будущей матери и развитием плода является гарантом рождения здорового малыша, поэтому УЗИ при беременности сегодня признано обязательной мерой.
Стоимость
| Ультразвуковое исследование плода 2D II СКРИНИНГ (свыше14 недель) одноплодная беременность | |
| Ультразвуковое исследование плода 2D 1 скрининг (12- 14 недель) одноплодная беременность | 2 000 |
| Доплата при УЗИ многоплодной беременности от 11 недель | 600 |
Смотреть все цены
Запись к врачу
Ультразвуковое исследование визуализирует состояние тканей, правильное положение и размеры органов.
Но в данном случае врач должен убедиться, что плод правильно развивается, не имеет патологий и врожденных аномалий. Современные сверхточные аппараты для исследований позволяют диагностировать даже малозаметные отклонения в организме нерожденного малыша. А для того, чтобы процедура была максимально комфортной, ее можно выполнить платно, обратившись в клиники «Даная», располагающиеся в Санкт-Петербурге.
Как часто делать УЗИ
Специалисты рекомендуют сделать УЗИ при беременности, как минимум, трижды, один раз в каждый триместр ожидания:
- Первая процедура проводится трансвагинальным методом, так как срок до двенадцати недель не препятствует такому способу и дает возможность более точно оценить состояние тканей и составить прогноз на течение периода ожидания малыша.
- Последующие УЗИ при беременности производятся абдоминально: через брюшную стенку живота. Уже на второй процедуре можно определить пол будущего малыша, что является самой приятной и долгожданной частью обследования.

- Последний раз беременной женщине предлагается сделать УЗИ при беременности непосредственно в самом конце девятимесячного срока. Это позволяет предположить приблизительный срок родов, что дает маме возможность избежать спешки при сборах в роддом, а быть полностью готовой к предстоящей госпитализации в родильное отделение.
Обычно ультразвуковое обследование сочетают с лабораторными анализами крови, которые позволяют оценить риск генетических заболеваний и вовремя предпринять соответствующие терапевтические или хирургические меры.
На каких сроках беременности делают УЗИ
- УЗИ выявляет маточную и внематочную беременность на ранних сроках — 4-5 неделе, поэтому врачи рекомендуют делать его в первые дни после задержки менструации вне зависимости от результатов теста и анализа на ХГЧ. В этот период можно увидеть плодный мешок, размер которого всего 2-3 мм, и определить его расположение.
- При нормальном течении на 6-7 недели беременности на УЗИ плод становится видимым и регистрируется сердцебиение, которое врач дает послушать при желании.
С этого момента и до 12 недели срок определяется по копчико-теменному размеру, и только потом рассчитывается по головке. - Иногда на 8-10 неделе беременности на УЗИ обнаруживается пустой плодный мешок или его диаметр не соответствует норме, это означает отсутствие зародыша и высокую вероятность аномалий.
Диагностика в это время необходима. Определение трубной беременности и неправильного развития позволяет принять меры, оказать женщине помощь и исключить опасность для жизни.
УЗИ плода по триместрам и неделям беременности
Плановые обследования выполняются один раз в каждом триместре. Их количество может увеличится по рекомендации врача или при желании женщины пристально следить за развитием малыша.
УЗИ в первом триместре беременности (1-13 неделя)
Первое плановое УЗИ выполняется на 11-13 неделях беременности. В это время можно точно определить многоплодие и некоторые грубые патологии. УЗИ скрининг на первых неделях беременности делают трансвагинально.
Это не приносит вреда плоду и дискомфорта женщине.
УЗИ по втором триместре беременности (14-28 недель)
Во время УЗИ на сроке 14-15 неделе беременности можно делать первые важные измерения, которые будут повторяться регулярно. Врач определяется ширину и окружность головки, длину бедренной кости, окружность живота. При несоответствии норме дополнительно замеряются другие трубчатые кости.
У малыша уже работают внутренние органы и можно рассмотреть все пальчики, которые в ответ на внешнее воздействие сжимаются в кулачки. Исследование позволяет узнать и о проблемах — неправильно сформированных конечностях, пороках развития центральной нервной и мочевой систем, патологиях позвоночника, синдромах Дауна и Тернера, сердечной недостаточности.
Современная аппаратура дает возможность узнать на УЗИ беременности пол ребенка в начале второго семестра. Единственное условие — малыш должен располагаться в удачной проекции.
Обязательное второе УЗИ делают 19-24 неделе беременности трансабдоминально.
Пол ребенка можно уже определить точно, как и рассмотреть при скрининге улыбку и ямочки на щеках.
К исследованию добавляются:
- Диагностика истмико-цервикальной недостаточности. Её выявление постоянного наблюдения за женщиной, которая оказывается в группе риска по спонтанному выкидышу.
- Диагностика плаценты, окончательное положение которой выясняться к концу триместра. При обнаружении предлежания до20-21 недели беременности УЗИ начинают повторять с короткими интервалами, установленными врачом.
УЗИ в третьем триместре беременности (29-40 неделя)
На УЗИ в 3 триместре проводится в норме на 30-32 или 34 неделе беременности. При обследовании определяются тазовое или головное предлежание, если малыш перевернулся, и видно обвитие пуповиной. Органы полностью сформированы. Врач может спрогнозировать приблизительный вес ребенка и обнаружить скрытые ранее пороки, например нарушение окостенения.
3Д и 4Д УЗИ при беременности
Трехмерные и четырехмерные ультразвуковые исследования могут выполняется на ранних сроках и в режиме реального времени.
Такое УЗИ уже на первых неделях покажет точный «возраст» эмбриона, обеспечит детальную визуализацию и поможет своевременно выявить грубые патологии. Методы объемного сканирования дают четкие изображения внутренних органов даже при неудобном положении плода, позвоночника, суставов и структур мозга. Это позволяет более точно прогнозировать развитие ситуации после рождения.
Трехмерная и четырехмерная диагностика открывает особые возможности для родителей. Распечатывать фото на УЗИ можно с 12 недель беременности. Но реконструкция внешности на поздних сроках разрешать делать впечатляющие портреты ребенка перед самыми родами.
Белькина
Ольга Павловна
Врач УЗИ МЦ «Даная»
УЗИ при беременности в Санкт-Петербурге
Выполнить УЗИ при беременности с максимальной точностью и комфортом в Санкт-Петербурге можно в медицинских центрах «Даная». В стенах наших медицинских центров будущие мамы смогут без хлопот пройти все необходимы процедуры функциональной и лабораторной диагностики, и получить расшифровки анализов от высококлассных специалистов.
Мы предлагаем объемную диагностику нового уровня, которая обеспечивает качественное обследование на всех этапах и дает вам возможность увидеть будущего малыша с фотографической точностью.
Клиника «Даная» приглашает на УЗИ при беременности на оборудовании экспертного класса. УЗИ можно сделать в одной из наших клиник в удобном для вас районе — Выборгском (м. Проспект Просвещения) или Кировском (м. Ленинский проспект).
Стоимость позиций прайс-листа делает наблюдение в коммерческих клиниках доступным большому количеству людей. У нас низкие цены и комфортная обстановка!
| № п/п | КОД | Кабинет ультразвуковой диагностики | Цена |
| 1.1. | Доплата при УЗИ многоплодной беременности от 11 недель | 600,00 | |
| 1.2. | A04.20.001 | Ультразвуковое исследование матки и придатков трансабдоминальное | 1200,00 |
1. 3. |
А04.20.001.001 | Ультразвуковое исследование матки и придатков трансвагинальное | 1200,00 |
| 1.4. | А04.20.001.001 | Ультразвуковое исследование матки и придатков трансвагинальное повторное | 890,00 |
| 1.5. | А04.20.002 | Ультразвуковое исследование молочных желез | 990,00 |
| 1.6. | A04.28.002.003 | Ультразвуковое исследование мочевого пузыря | 700,00 |
| 1.7. | А04.16.001 | Ультразвуковое исследование органов брюшной полости (комплексное-печень, поджелудочная железа, селезенка) | 1390,00 |
| 1.8. | A04.28.003 | Ультразвуковое исследование органов мошонки (яички, придатки ) | 700,00 |
1.9.![]() |
A04.30.001 | Ультразвуковое исследование плода 2D(свыше 14 недель) | 1980,00 |
| 1.10. | A04.28.002.001 | Ультразвуковое исследование почек | 880,00 |
| 1.11. | A04.21.001 | Ультразвуковое исследование предстательной железы | 930,00 |
| 1.12. | A04.21.001.001 | Ультразвуковое исследование предстательной железы трансректальное | 930,00 |
| 1.13. | A04.20.003 | Ультразвуковое исследование фолликулогенеза (мониторинг) | 660,00 |
| 1.14. | A04.22.001 | Ультразвуковое исследование щитовидной железы и паращитовидных желез | 980,00 |
| 1.15. | Цервикометрия | 550,00 |
Задайте ваш вопрос
Когда при УЗИ-скрининге не видно беременности
Проведение ультразвуковой диагностики помогает подтвердить наступление беременности на самых ранних ее сроках. Современные УЗИ сканеры, имеющие высокое разрешение, дают возможность установить зарождение новой жизни на 5-6 день задержки месячных и разглядеть на экране монитора крошечный, едва достигший 4-5 мм эмбрион. Но бывают случаи, когда сонография не оправдывает себя, и врач-диагност вплоть до тринадцатой недели беременности не может обнаружить плодное яйцо в полости матки, хотя сама беременность протекает без патологии. Разрешить возникшие сомнения поможет опытный врач- гинеколог. В Краснодаре записаться на консультацию можно на нашем сайте или позвонив по телефону, указанному в нем.
Почему УЗИ не видит беременность
Оптимальным сроком для выявления беременности является срок в четыре недели. В этот период врач-узист определяет наличие первой структурной части плодного яйца, желточного мешочка. Однако, и на этом сроке диагностировать 100% беременность не всегда удается.
Причин этому множество, прежде всего, это:
- Человеческий фактор, который проявляется в квалификации и опытности специалиста, проводящего обследование. Нередко при ранних сроках беременности ее расценивают как доброкачественную опухоль матки или вовсе ничего не находят, хотя плоду уже больше месяца.
- Особое анатомическое строение матки, избыточная масса тела, наличие рубцов на животе женщины. Необычная форма матки и особенное расположение в ней плода также не всегда позволяют рассмотреть плодное яйцо на ранних стадиях беременности.
- Устаревшее оборудование, аппараты первого поколения не способны разглядеть небольшое плодное яйцо. Современные трехмерные УЗИ сканеры позволяют увидеть лицо малыша и строение его тельца, а четырехмерные — даже получить четкое посекундное видео.
- Маленький срок беременности. УЗИ на первых неделях беременности мало информативно, неразвившуюся яйцеклетку нередко принимают за полип. УЗИ-диагностику рекомендуют проводить не раннее пятой недели беременности особым транвагинальным методом с использованием высокочастотного влагалищного датчика.
Такой метод позволяет получить более точные результаты. - Внематочная беременность также может быть причиной не выявления беременности на УЗИ.
Для подтверждения беременности в нашей клинике проводится скрининг УЗИ в Краснодаре на аппарате экспертного класса. Безопасный метод 3D сканирования, выполненный высококвалифицированными, опытными специалистами, поможет получить достоверные результаты и развеять имеющиеся сомнения.
Вопрос-ответ на актуальные темы о здоровье
01.04.2021 Анонимный пациент
Екатерина, добрый день) У меня проблема, из-за гормонального сбоя были сильные внутренние прыщи, а сейчас от них остались темные пятна, даже тональником их сложно маскировать( я почитала, что лазером можно удалить, но не знаю каким лучше, может вы подскажете, или вообще может не лазером пятна убрать, а как-то по другому? Заранее большое спасибо!
Посмотреть ответ 19.
03.2021
Пациент
Здравствуйте! Я родила ребенка и ему поставили диагноз апплазия части кожного покрова головы и сказали, что это генетическое заболевание. Можно ли как-то узнать точно ли это апплазия, а не неосторожность врачей при КС?
Посмотреть ответ11.03.2021 Варвара , 25 лет, Новосибирск
Здравствуйте!
Скажите пожалуйста, делаете ли Лапароскопию по удалению эндометриозных кист и очагов эндометриоз по ОМС? Если нет, то подскажите стоимость (правый яичник-6,5 см, левый-2 кисты по 1,5 см, очаги) Две лапароскопии были проведены( одна запланированная, вторая экстренная( разрыв, но не удалили а просто коагулировали).
11.
03.2021
Валерия Романова , 38 лет, Новосибирск
Здравствуйте, скажите пожалуйста 1,5 года назад забеременила в вашей клинике,. Был криоперенос. Сейчас хочу узнать не утилизирован мой материал, хочу оплатить просрочку для дальнейшего использования.
Посмотреть ответ11.03.2021 Александра, 35 лет, Новосибирск
Могу я стать сурагатной мамой если я из украины
Посмотреть ответ11.03.2021 Дарья , 35 лет, Новосибирск
Добрый день! У меня срок беременности 21 неделя, поставили диагноз: гипоплазия костей носа. На 12 неделе все было хорошо, размер косточки был 1,9 мм, сейчас в 21 неделю 4,3 мм. Биохимический анализ, хороший.
В таком случае какая вероятность потологии?
11.
03.2021
Кристина , 29 лет, Новосибирск
здравствуйте, подскажите стоимость вакцинации пентаксим?
Посмотреть ответ10.03.2021 Юлия, 40 лет, Новосибирск
Здравствуйте. Подскажите что принимать при воспаление поджелудочной железы. Раньше ставили диагноз панкреатит. Принимаю таблетки панкреатин омепразол нольпаза
Посмотреть ответ10.03.2021 Юлия, 27 лет, Новосибирск
Здравствуйте!
Мне 27 лет, первая беременность, проблем не было не до не во время, токсикоза нет, всё протекает отлично, у мужа есть 1 ребёнок от первого брака. У ребёнка G6pD.
После прохождения 1-го скрининга в 13,2 недель по узи всё в норме, единственное голова по измерениям оказалась на 13,6 дней.
Доктора насторожил только анализ хгч МоМ и меня отправили с ним к генетику, но и после общения с ним я ничего не поняла и не знаю что делать. Надеюсь вы подскажете.
fb-hCG 88,3 ng/ml 2,20 Скорр.MoM
PAPP-A 7,25 mIU/ml 1,68 Скорр.MoM
Шлейная складка 1,40 мм
Генетик сказал, следующее:
Индивидуальный риск по хромосомной патологии менее 1%(низкий)
Риск по вырожденным порокам развития и наследственным болезням для плода до 5% (низкий, общепопуляционный)
Но при этом порекомендовала в ближайшее два дня сдать нипт, сказала что решать мне и особо сильных рисков нет, но лучше сдать. Я так и не поняла насколько мне действительно его нужно сдавать.
Сейчас у меня уже 15,4 недель, возможно ли пересдать анализ крови сейчас или это можно было только в 13 недель сдавать, или дождаться 2 скрининга или всё же нужно делать срочно нипт?
09.
03.2021
Аноним, Новосибирск
Здравствуйте. Подскажите, пожалуйста. Сейчас 34 недели беременности. В 31 неделю начался зуд в области передней стенки живота и икр ног, высыпания по типу крапивница на животе, сейчас на данный момент эти высыпания сливаются и образуются «липешки», на икрах высыпания нет, только зуд. Обращалась на прием к дерматологу, сказали аллергия на стиральный порошок, поменяла порошок на гипоаллергенный, детский, переполоскала вещи, что были постираеы с предыдущим порошком. По назначению местно крем декспантенол на высыпания и гель атопик. Лучше не стало. Зуд усиливается в ночное время. Анализы от 26.01.2021 алт-5,5, аст-26.7, общ.белок-69.0,общ.билируб-13.4, гемоглобин-99, эр-3.4, лейк-12,3, тромб-215. Моча норма. Диету стараюсь соблюдать. Бабушка уже пытается лечить народными средствами. Что делать?
Посмотреть ответ09.03.2021 Аноним, Новосибирск
Дочери 16 лет в области шеи папиллматозный невус 3 штуки,сколько будет стоить их удаление ,чтоб не осталось шрамов-каким лучше способом удалять
Посмотреть ответ09.03.2021 Татьяна, 32 года, Новосибирск
Здравствуйте, беременность 18 недель при прохождении первого скрининга в 12 недель пришёл анализ с повышенным хгч, при повторной пересдаче показало высокий риск по трисомии 21
Посмотреть ответ09.03.2021 Елена, 19 лет, Новосибирск
1 скрининг: показатели крови РАРР-А-0,46 .Это норма?
Посмотреть ответ09.03.2021 Наталья, 18 лет, Новосибирск
Добрый день! Подскажите, РРА на сроке 12 недель 0,46
Гинеколог сказал что можно сдать еще анализ, а если денег нет, то не сдавать, потому как ничего страшного нет, не знаю что делать
03.03.2021 Наталья, 41 год, Новосибирск
Здравствуйте. У меня 1 марта отошли воды на 21 неделе. 2 марта сделали узи сказали 80мл, зев закрыт, у меня ещё ушивание шейки матки. 3 марта сделала узи сказали вод вообще нету. Как так если у меня уже не подтекают. Сегодня всячески мне навязывали советы прервать беременность. Ну я естественно отказалась. Сердце бьётся, шевеление есть. Не ужто нельзя сохранить беременность? Вот хотела у вас узнать возможно ли это????
Посмотреть ответ03.03.2021 Гаухар, 53 года, Новосибирск
Здравствуйте! сыну 5 лет,в отябре выявили гидронефроз. 10 ноября сделали операцию. поставили стендт, 9 декабря удалиили стендт. При выписке лохпнка была 28 мм. 15 января 37. 24 февраля 31мм, 3 марта 34мм. Что делать незнаю
Посмотреть ответ03.03.2021 Ульяна, 24 года, Новосибирск
Здравствуйте! Беременность 12-13 недель, по результатам первого скрининга биохимия:Свободная бета-субъединима ХГЧ 18,65 Ме/Л эквивалентно 0,578 МоМ
PAPP-A 0.823 МЕ/л эквивалентно 0,303 МоМ
Подскажите какое значение результатов?
Посмотреть ответ03.03.2021 мария, 46 лет, Новосибирск
сколько стоит пройти колоноскопию и УЗИ сосудов нижних конечностей
Посмотреть ответ03.03.2021 мария, 46 лет, Новосибирск
Здравствуйте, анализы сданные по месту жительства в г. Мирный РС(Якутия) подойдут?
Посмотреть ответ02.03.2021 Наталья, 31 год, Новосибирск
Здравствуйте!мне 31 год.4 беременность
Три беременности проходили без особенностей,дети здоровы
Первый раз столкнулась с такими результатами скрининг теста
Хгч-8,52нг/мл-0,24 мом
Папа-а-0,347 мед/мл -0,69 мом
Твп 1,0 мм-0,72 мом
Итог риск на Дауна -1:100000
Риск на СД (только по биохимии) : 1:29820
Риск на эдвардса 1:95492
Риск на Патау/тертера 1:100000
Стоит ли переживать о врождённых пороках?
Какой шанс родить здорового ребенка?
УЗИ на ранних сроках беременности (до 11 недель) в Минске
Что показывает УЗИ на ранних сроках беременности (до 11 недель)?
УЗИ на ранних сроках позволяет:
- подтвердить или опровергнуть сам факт наступления беременности. В некоторых случаях уровень ХГЧ (уровень ХГЧ – главный ориентир в диагностике беременности) может быть повышен не в результате беременности, а при наличии серьезных патологий в организме (злокачественных опухолей, инвазии свиного цепня и др.)
- уточнить сроки беременности. Сроки беременности рассчитываются лишь приблизительно, на основании продолжительности менструального цикла у конкретной женщины. Обычно днем овуляции считается середина цикла, она же принимается за дату зачатия. Тем не менее, под влияние различных факторов овуляция может быть значительно смещена, а реальные сроки беременности – отличаться от предполагаемых аж на несколько недель. Кроме того, за менструацию может быть принят момент имплантации плодного яйца в эндометрий матки, когда возможны необильные кровянистые выделения.
- определить количество эмбрионов. По повышенному уровню ХГЧ в крови можно предположить вероятность многоплодной беременности, однако подтвердить этот факт и уточнить количество будущих малышей можно лишь с помощью УЗИ.
- исключить различные патологии развития беременности:
- внематочную беременность, когда плодное яйцо имплантируется не в теле матки, а в фаллопиевой трубе, брюшной полости, яичнике или шейке матки
- замершую беременность, когда эмбрион перестает развиваться
- анэмбрионию – отсутствия эмбриона в плодном яйце
- пузырный занос, при котором эмбрион не развивается, как положено, а вместо этого ворсины хориона формируют полости, заполненные жидкостью, в эпителии матки
- и др.
- диагностировать угрожающие прерыванием беременности патологии матки и ее придатков: двурогую матку, гипоплазию матки, наличие синехий (сращений) в полости матки, миому матки, злокачественные опухоли и др.
- заподозрить угрозу выкидыша или диагностировать начало самопроизвольного аборта. Своевременно предпринятые меры во многих случаях позволяют остановить этот процесс и сохранить беременность.
В каких случаях УЗИ плода на ранних сроках обязательно?
Беременность – особое время в жизни женщины: меняется гормональный фон, организм активно перестаивается, готовясь к будущим родам, поэтому первый триместр беременности нередко сопровождается тошнотой, рвотой, упадком сил, сонливостью, нагрубанием молочных желез и в некоторых случаях тянущими ощущениями в области поясницы или нижней части живота. Все это нормально.
Насторожить должны:
- боль любого характера (резкая, ноющая, схваткообразная и др.) в пояснице, в нижнем отделе живота
- красные или коричневые выделения на белье, вагинальное кровотечение
- сильно выраженная тошнота и частая рвота
- значительное повышение или, наоборот, снижение артериального давления
- обморок или предобморочное состояние, головокружение
- тахикардия (учащенный пульс)
- отеки
Перечисленные симптомы могут свидетельствовать об аномально протекающей беременности, поэтому при их появлении рекомендуется незамедлительно обратиться к врачу-акушер-гинегологу и провести необходимые исследования, в том числе УЗИ.
Как проводится УЗИ плода в I триместре для определения беременности
Проведение УЗИ плода до 11 недель беременности возможно несколькими способами:
- трансабдоминально, т.е. по поверхности нижнего отдела брюшной стенки
- трансвагинально, т.е. посредством введения специального датчика во влагалище
Трансвагинальный способ исследования более точен и информативен для определения беременности на ранних сроках. Так, крошечное плодное яйцо, размером около 2 мм, можно обнаружить в матке уже через 2-3 недели после зачатия, а сам эмбрион – различить еще спустя 2-3 недели.
Однако, говорить о благополучно развивающейся беременности можно только после фиксации сердцебиения у эмбриона. Первые удары, как правило, регистрируются уже на 6 акушерской неделе.
Таким образом, 6-7 неделя – оптимальное время проведения трансвагинального УЗИ для подтверждения беременности. Ведь к этому периоду эмбрион достаточно подрос, у него заработало сердце, поэтому по результатам исследования уже можно судить о благополучии малыша.
Но как бы ни был хорош трансвагинальный способ диагностики, его применение возможно не всегда. Так, трансвагинальное УЗИ противопоказано при угрозе выкидыша, тяжелом воспалительном процессе во влагалище, а также в случаях, когда данный способ диагностики вызывает сильный психологический дискомфорт у беременной. В таких ситуациях УЗИ проводят трансабдоминально.
Трансабдоминальное УЗИ на ранних сроках беременности также довольно информативно, хотя и имеет несколько особенностей:
- до 10 недели трансабдоминальное УЗИ выполняется лишь при заполненном мочевом пузыре. Это необходимо для получения четкой картинки на мониторе УЗ-аппарата, ведь иначе (при пустом мочевом пузыре) воздух будет препятствовать прохождению ультразвуковых волн и исследование окажется нерезультативным.
- само плодное яйцо и его структуры (эмбрион, желточный мешок и др.) на трансабдоминальном УЗИ удается различить на 1-2 недели позже по сравнении с трансвагинальным УЗИ
Помимо определения самого факта наличия плодного яйца в матке, исследования структур плодного яйца, места его имплантации, наличия сердечных сокращений у эмбриона и т.д., врачи ультразвуковой диагностики в обязательном порядке изучают состояния матки и придатков. Ведь повышенный тонус матки, наличие в ней объемных образований, врожденные дефекты матки, преждевременное увядание желтого тела в яичнике и т.д. при отсутствии соответствующей терапии могут привести к нежелательным последствиям.
Подготовка к проведению УЗИ плода в I триместре для определения беременности
Специальной подготовки к трансвагинальному УЗИ плода в I триместре для определения беременности не требуется.
Однако трасабдоминальное УЗИ выполняется при условии наполненности мочевого пузыря. Это улучшает проходимость ультразвуковых волн и обеспечивает высокое качество исследования. Поэтому за 30 – 60 минут до процедуры рекомендуется выпить около 1 литра чистой, негазированной воды.
Анэмбриония – беременность или нет?
К сожалению, далеко не все наступившие беременности завершаются деторождением. Репродуктивные потери при этом могут быть обусловлены различными причинами. И одной из них является неразвивающаяся или замершая беременность. Н долю этой патологии приходится до 15-20% репродуктивных потерь. В настоящее время выделяют 2 варианта замершей беременности: гибель эмбриона и анэмбриония. Важно понимать, что дифференциальная диагностика между ними не влияет на последующую лечебную тактику, но учитывается при оценке прогноза. Чаще определяется анэмбриония, причем это состояние во многих случаях не сопровождается самопроизвольным абортом и потому требует искусственного прерывания замершей беременности.
Анэмбриония – что это такое?
Анэмбриония – это отсутствие эмбриона в развивающемся плодном яйце. Такое состояние называют также синдромом пустого плодного яйца. Это отнюдь не редкая патология, которая может быть диагностирована у первобеременных и у женщин, уже имеющих здоровых детей.
В настоящее время выделено достаточно много возможных причин анэмбрионии. К ним относят:
- Генетические аномалии, которые отмечаются почти в 80% патологического состояния. Обычно они связаны с грубыми и/или множественными хромосомными нарушениями. Причем при анэмбрионии такие аномалии носят качественный характер, а при гибели эмбриона и его аборте – преимущественно количественный. Возможны также нежизнеспособные комбинации родительских генов или мутации в ключевых зонах, отвечающих за ранние этапы эмбриогенеза и синтез основных структурных белков клеточных мембран.
- Некоторые острые вирусные и бактериальные заболевания, протекающие на ранних сроках беременности и приводящие к поражению эмбриональных тканей или трофобласта. Наиболее опасны в этом плане ТОРЧ-инфекции, хотя и другие возбудители могут проявлять эмбриотропность.
- Персистирующие вирусно-бактериальные инфекции органов репродуктивной системы, приводящие к развитию хронического эндометрита. И в большинстве случаев такая патология протекает без явных клинических симптомов и выявляется уже после замершей беременности.
- Радиационное воздействие на развивающийся эмбрион.
- Экзогенные интоксикации: прием препаратов с эмбриотоксическим действием, наркомания, воздействие некоторых промышленных и сельскохозяйственных ядов (токсинов).
- Эндокринные расстройства у беременной женщины. И наиболее критичным является дефицит прогестерона и нарушения его обмена, что является основной причиной патологии децидуализации эндометрия и аномальной имплантации плодного яйца.
В целом причины возникновения патологии в большинстве случаев остаются не диагностированными. Обычно удается определить лишь предположительную этиологию.
Проведение генетической диагностики абортированных тканей может выявить явные аномалии наследственного материала. Но такое исследование, к сожалению, проводится в очень небольшом проценте случаев. В основном оно показано при отягощенном акушерском анамнезе у женщины, когда у нее в прошлом уже были замершие или самопроизвольно прервавшиеся на ранних сроках гестации. Но и такая диагностика не всегда бывает достаточно информативной, что связано с ограниченными возможностями современной генетики и высокой вероятностью воздействия других этиологических факторов.
Патогенез
Анэмбриония является следствием прекращения размножения и дифференцировки эмбриобласта или внутренней клеточной массы – группы клеток, в норме дающих начало тканям плода. И происходит это на самых ранних этапах беременности (обычно на 2-4 неделях гестации), причем без нарушения развития плодных оболочек из трофобласта. В результате образуется так называемое пустое плодное яйцо, которое продолжает расти даже при отсутствии в нем эмбриона.
К патогенетически важным факторам развития заболевания относят:
- Унаследованные от родителей или приобретенные хромосомные аберрации и другие генетические аномалии. Они могут приводить к грубой десинхронизации развития эмбриональных тканей, критичным изменениям структуры коллагена и других белков, нарушению индукции дифференцировки и миграции делящихся клеток. Чаще всего встречаются аутосомные трисомии, моносомии, триплоидии, тетраплоидии.
- Избыточное образование в организме женщины циркулирующих иммунных комплексов. Их отложение в стенках мелких сосудов приводит к тромбоэмболиям и другим критическим нарушениям микроциркуляции в зоне имплантирующего яйца. Наибольшее клиническое значение придается антифосфолипидным антителам.
- Чрезмерная активация Т-хелперов с повышением концентрации и агрессии секретируемых ими цитокинов. Эти вещества способны оказывать прямое и опосредованное повреждающее действие на эмбриональные ткани с нарушением их пролиферации и дифференцировки. Фактически плодное яйцо в этом случае выступает мишенью для клеточного звена иммунитета. Причиной такого аномального иммунного ответа организма женщины может быть хроническая инфекция эндометрия, гормональные отклонения, некоторые другие эндогенные факторы.
Важно понимать, что при анэмбрионии в организме женщины вырабатываются вещества, способствующие пролонгации беременности. Поэтому в значительной части случаев самопроизвольный аборт не происходит. У пациентки появляются и поддерживаются признаки беременности, происходит прирост ХГЧ в сыворотке крови. Поэтому базальная температура при анэмбрионии обычно не имеет характерных особенностей. А на первом раннем УЗИ подтверждается факт успешной имплантации плодного яйца в полости матки. Ведь беременность действительно наступает, но развивается она без ключевого компонента – эмбриона.
В последующем возможно отторжение аномального плодного яйца. При этом могут быть диагностированы угроза прерывания беременности (в том числе с образованием отслаивающих ретрохориальных гематом) или самопроизвольный аборт (выкидыш). Но нередко анэмбриония диагностируется лишь при плановом обследовании, в этом случае диагноз является абсолютно неожиданным и шокирующим известием. Такая беременность требует искусственного прерывания.
Как это проявляется?
Анэмбриония не имеет собственных клинических симптомов, все появляющиеся нарушения связаны обычно с угрозой прерывания такой патологической беременности. И к настораживающим признакам можно отнести наличие клинических проявлений относительной прогестероновой недостаточности, что создает предпосылки для самопроизвольного аборта. Поэтому поводом для обращения к врачу могут стать боли внизу живота и кровянистые выделения, при анэмбрионии они могут появиться практически на любом сроке в течение 1-го триместра. Но зачастую об имеющейся патологии женщина узнает лишь при проведении скринингового УЗИ на сроке 10-14 недель.
Диагностика
Как и другие формы замершей беременности, анэмбриония выявляется в первом триместре гестации. И основным диагностическим инструментом при этом является УЗИ, ведь именно это исследование позволяет визуализировать имеющиеся отклонения.
При этом достоверно выявить симптомы можно лишь после 8-ой недели гестации. На более ранних сроках визуализация нередко недостаточна вследствие слишком малых размеров плодного яйца, так что не исключен ошибочный диагноз. Поэтому при подозрении на замершую беременность и анэмбрионию рекомендуется проводить обследование несколько раз, повторяя процедуру на аппаратуре экспертного класса с интервалом в 6-8 дней. При этом первично поставленный диагноз пустого плодного яйца может быть снят, если на последующих УЗИ удается визуализировать эмбрион с признаками сердцебиения и достаточной динамикой развития.
Основные эхографические признаки:
- отсутствие желточного мешка при диаметре плодного яйца 8-25мм;
- отсутствие эмбриона в плодном яйце диаметром более 25 мм.
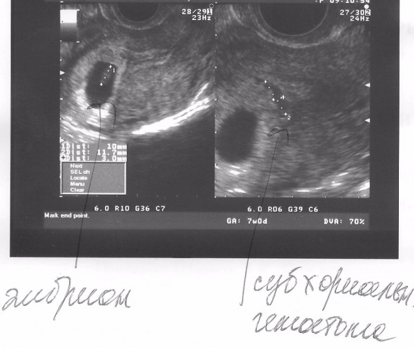
К дополнительным признакам замершей беременности относят неправильную форму плодного яйца, недостаточный прирост его диаметра в динамике, слабую выраженность децидуальной реакции, отсутствие сердцебиения на сроке гестации 7 и более недель. А признаками угрозы ее прерывания служат изменение тонуса матки и появление участков отслойки хориона с появлением субхориальных гематом.
Заподозрить анэмбрионию можно также при динамической оценке уровня ХГЧ в крови. Прирост уровня этого гормона по нижней границе нормы должен быть основанием для дальнейшего обследования женщины с проведением УЗИ. Важно понимать, что ХГЧ вырабатывается и при синдроме пустого плодного яйца. Причем его уровень при этой патологии будет практически нормальным, в отличие замершей беременности с гибелью нормально развивающегося эмбриона. Поэтому отслеживание косвенных признаков беременности и рост ХГЧ при анэмбрионии нельзя отнести к достоверным методам диагностики.
Разновидности
Возможны несколько вариантов синдрома пустого плодного яйца:
- Анэмбриония I типа. Эмбрион и его остатки не визуализируются, размеры плодного яйца и матки не соответствуют предполагаемому сроку беременности. Диаметр яйца составляет обычно не более 2,5 мм, а матка увеличена лишь до 5-7 недели гестации.
- Анэмбриония II типа. Эмбриона нет, но плодное яйцо и матка соответствуют сроку гестации.
- Резорбция одного или нескольких эмбрионов при многоплодной беременности. При этом одновременно визуализируются нормально развивающиеся и регрессирующие плодные яйца. По этому типу нередко протекает анэмбриония после ЭКО, если женщине были подсажены несколько эмбрионов.
Все эти разновидности определяются лишь с помощью УЗИ, характерных клинических особенностей они не имеют.
Что делать?
Подтвержденная анэмбриония является показанием для искусственного прерывания беременности. При этом не учитывается срок гестации, самочувствие женщины и наличие у нее признаков возможного самопроизвольного аборта. Исключение составляет ситуация, когда диагностируется анэмбриония второго плодного яйца при многоплодной беременности. В этом случае предпринимают выжидательную тактику, оценивая в динамике развитие сохранившегося эмбриона.
Прерывание замершей беременности проводится только в стационаре. После процедуры эвакуации плодного яйца женщина должна находиться под врачебным наблюдением. Во многих случаях после неё назначается дополнительное медикаментозное и иногда физиотерапевтическое лечение, направленное на нормализацию гормонального фона, профилактику воспалительных и геморрагических осложнений, ликвидацию выявленной инфекции.
Для проведения медицинского аборта при этой патологии возможно использование нескольких методик. Могут быть использованы:
- медикаментозный аборт – прерывание беременности с помощью гормональных препаратов, провоцирующих отторжение эндометрия вместе с имплантированным плодным яйцом;
- вакуумная аспирация содержимого полости матки;
- выскабливание – операция, включающая механическое удаление плодного яйца и эндометрия специальным инструментом (кюреткой) после принудительного расширения канала шейки матки бужами.
Медикаментозный аборт при анэмбрионии возможен лишь на сроке 6-8 недель. В более поздние сроки гестации предпочтение отдают механическим методам, что требует применения общей анестезии. От выбора способа искусственного аборта зависит, болит ли живот после прерывания беременности, продолжительность реабилитационного периода, вероятность развития ранних и поздних осложнений.
Обследование после искусственного аборта обязательно включает УЗ-контроль. Это позволяет подтвердить полную эвакуацию плодных оболочек и эндометрия, исключить нежелательные последствия аборта в виде гематометры, перфорации и эндометрита.
Прогноз
Может ли повториться анэмбриония? Смогу ли еще иметь детей? Эти вопросы беспокоят всех пациенток, перенесших эту патологию. К счастью, в большинстве случаев состояние не повторяется, женщине в последующем удается благополучно забеременеть и выносить ребенка. Но при этом ее относят к группе риска по возможному развитию осложнений беременности и родов. Поэтому в первом триместре ей обычно назначается динамический УЗИ-контроль развития плодного яйца, определение гормонального профиля и оценка состояния системы гемостаза.
Беременность после анэмбрионии теоретически возможна уже в следующем овариально-менструальном цикле. Но желательно дать организму восстановиться. Поэтому планирование повторного зачатия рекомендуют начинать не ранее, чем через 3 месяца после проведенного искусственного аборта. Если же он протекал с осложнениями, реабилитационный период с соблюдением репродуктивного покоя продлевают на срок до полугода. При выявлении у женщины хронического эндометрита и различных инфекций, через 2 месяца после завершения лечения проводят контрольное обследование и лишь тогда определяют возможные сроки повторного зачатия.
Для предупреждения наступления беременности предпочтение отдают барьерному методу и гормональной контрацепции. Подбор средства при этом осуществляется индивидуально. Внутриматочные спирали сразу после перенесенной замершей беременности не используют во избежание развития эндометрита.
Профилактика
Первичная профилактика анэмбрионии включает тщательное планирование беременности с проведением комплексного обследования. При выявлении отклонений проводится их коррекция. Конечно, такая подготовка не позволяет на 100% исключить вероятность патологии, но снижает риск ее развития.
Вторичная профилактика проводится при наличии у женщины в анамнезе самопроизвольных абортов и анэмбрионии. Первая беременность с синдромом пустого плодного яйца – повод для последующего обследования женщины на инфекции и нарушения гемостаза. При повторении ситуации показано проведение также генетического обследования супругов для исключения у них аномалий наследственного материала. В некоторых случаях последующее зачатие предпочтительно проводить с помощью ЭКО, что позволит использовать преимплантационную диагностику для выявления у эмбрионов хромосомных нарушений.
Анэмбриония диагностируется достаточно часто. И, к сожалению, в настоящее время пока не удается полностью исключить такую патологию уже на этапе планирования беременности. Ведь она может развиться даже у полностью здоровых и обследованных пациенток. При этом перенесенная замершая беременность не означает невозможность повторного успешного зачатия, большинству женщин после анэмбрионии удается благополучно родить здорового ребенка.
Ультразвук у 7 недель беременности: процедура, отклонения и многое другое
Последнее обновление
Поздравляем! Вы дожили до 7-й недели беременности. Большинство женщин узнают, что они беременны к 5-й неделе беременности — если вы с нетерпением ждали ребенка и узнали о своей беременности, вы, должно быть, в восторге, и новости, должно быть, все еще доходят до вас. Примерно на семи неделе беременности , эмбрион начинает расти руками и ногами.Это когда мать впервые может увидеть своего ребенка с помощью УЗИ. Вот что вы можете ожидать от ультразвукового исследования на 7-й неделе.
Почему нужно пройти УЗИ через 7 недель?
Это сканирование выполняется для различных целей. Ультразвук имеет следующие преимущества для ребенка —
- Гестационный возраст ребенка можно определить с помощью сканирования датировки.
- Через семь недель сердцебиение эмбриона можно определить с помощью ультразвукового исследования.Сердцебиение — первый признак здорового и живого плода.
- Проверено репродуктивное здоровье матери.
- С помощью ультразвукового исследования на 7 неделе беременности можно определить двойную или многоплодную беременность в виде множественных гестационных мешков.
- При этом сканировании также можно диагностировать внематочную беременность, когда эмбрион прикрепляется к фаллопиевым трубам или любому другому месту, кроме тела матки.
- Рост ребенка сравнивается с его сроком беременности для выявления отклонений.
- Если беременная женщина сталкивается с кровотечением или выделениями, быстрое ультразвуковое исследование может установить причину.
Кому необходимо сканирование знакомств?
Женщинам, у которых нерегулярный менструальный цикл или которые не помнят дату своей последней менструации, сложно рассчитать сроки родов. Также женщины, которые забеременели во время приема оральных контрацептивов или кормят грудью, не знают дату зачатия. В таких ситуациях сканирование датирования для оценки примерного гестационного возраста ребенка может быть полезным для расчета предполагаемой даты родов.Это также полезно для наблюдения за ростом ребенка.
Как выполняется сканирование седьмой недели?
УЗИ через семь недель можно проводить двумя разными способами. В зависимости от состояния здоровья будущей женщины проводится трансвагинальное сканирование или УЗИ брюшной полости. Трансвагинальное сканирование включает введение зонда вагинально, и для этого у женщины должен быть полный мочевой пузырь перед сканированием. Однако, если это УЗИ брюшной полости, полный мочевой пузырь необходим для четкого зрения плода.
Сколько времени нужно, чтобы выполнить ультразвуковое сканирование через 7 недель?
УЗИ на седьмой неделе длится не более нескольких минут. При этом сканировании будут проверяться сердцебиение, срок беременности и рост ребенка, а также максимальное время, которое потребуется на это полчаса.
Чего можно ожидать?
Многие будущие мамы не знают, что им следует ожидать от УЗИ через 7 недель. Вот что вы, вероятно, заметите —
- Вы сможете увидеть крошечные ручки, пальцы ног и даже ноздри вашего ребенка.
- В 7 недель ребенок размером с чернику и требует увеличения для более четкого обзора.
- Изюминкой этого сканирования является то, что можно услышать сердцебиение плода.
- Также могут быть видны внутренние органы, которые начали развиваться.
Можно ли увидеть близнецов на УЗИ?
Да, близнецов можно распознать на 7-недельном сканировании. Обычно они видны как несколько эмбрионов или гестационных мешочков. Однако в некоторых редких случаях можно пропустить определение наличия еще одного ребенка, поскольку сканирование проводится намного раньше во время беременности.
Отсутствие сердцебиения в 7 недель — признак выкидыша?
Да, отсутствие сердцебиения на УЗИ седьмой недели может быть признаком выкидыша. Но есть несколько факторов, которые необходимо учитывать, прежде чем прийти к такому выводу. В некоторых случаях сердцебиение не определяется, если неверно рассчитан срок беременности малыша. Чтобы исключить это сомнение, через неделю можно сделать еще одно сканирование.
Что делать, если при сканировании обнаруживаются другие отклонения?
Вероятность аномалий, таких как кисты яичников и других пороков развития, будет, и их можно будет обнаружить при сканировании на седьмой неделе.Сонограф проверяет сердцебиение плода, длину макушки, диаметр гестационного мешка и другие жизненно важные параметры.
Почему результаты УЗИ на 7-й неделе не являются точными на 100%?
Нет сканирования со 100% точностью. В некоторых случаях УЗИ может быть неточным:
- Возможно, плод не занял удобное положение. Иногда он может скручиваться, растягиваться или даже отворачиваться от звуковых волн, что затрудняет просмотр.
- Сонографист может быть недостаточно обучен, чтобы обнаруживать какие-либо отклонения.Следовательно, результаты сканирования могут быть неточными.
- Качество и состояние ультразвукового оборудования также могут влиять на точность сканирования.
Ультразвуковое сканирование через семь недель имеет решающее значение для выявления любых аномалий развития на ранней стадии. Они также помогают определять сердцебиение плода и облегчают определение гестационного возраста плода. Так что не забудьте посетить гинеколога после 7 недель зачатия!
Предыдущая неделя: УЗИ 6 недель беременности
Следующая неделя: УЗИ 8 недель беременности
Развитие ребенка, симптомы и многое другое
На седьмой неделе беременности вы можете почувствовать, что ожидаете, но еще не совсем так выглядите.Вы могли набрать пару фунтов или даже потерять веса из-за утреннего недомогания. Возможно, вы «светитесь» или боретесь с прыщами. Но, вне зависимости от вашего внешнего вида, внутри, безусловно, происходят большие изменения.
7 недель беременности Сколько месяцев? 1 месяц и 3 недели
Какой триместр? Первый триместр
Сколько осталось недель? 33 недели
Развитие вашего ребенка за 7 недель
В 7 недель ребенок вырастает чуть больше 1/3 дюйма (около 1 сантиметра).Это примерно размером со стандартную чернику.
Веривелл / Бейли МаринерВсе еще такой крошечный, к концу этой недели ваш будущий ребенок будет примерно вдвое больше, чем на прошлой неделе. Системы тела и физические особенности продолжают развиваться.
- В то время как на прошлой неделе развитие рта, ноздрей, ушей и глаз ребенка ускорилось, на этой неделе они начинают выглядеть все более и более определенными.
- Веки и язык начинают формироваться.
- Пуповина принимает форму.Этот спасательный круг соединяет ребенка с плацентой, чтобы переносить насыщенную кислородом кровь и питательные вещества вашему ребенку, одновременно убирая отходы.
- У вашего эмбриона, скорее всего, второй набор почек. Младенцы проходят три стадии развития почек в утробе матери.
Изучите несколько этапов седьмой недели вашего ребенка в этом интерактивном опыте.
Как беременность изменит мое тело?
Общие симптомы на этой неделе
Что касается вас, то утреннее недомогание и частое мочеиспускание могут продолжаться или начаться на этой неделе.Наряду с этими симптомами вы также можете заметить изменения кожи, выделения из влагалища и обоняния.
Помните, что каждый человек и каждая беременность индивидуальны. Вы можете испытать один, несколько, много или все из этих симптомов.
Изменения шейки матки
Шейке матки уделяется много внимания в конце беременности, когда вы ждете, когда она исчезнет и расширится. Но на самом деле в этой области сейчас происходит много всего. Повышение уровня гормонов и кровотока во время беременности увеличивает выработку цервикальной слизи, получившей название лейкорея.Вы можете заметить это как жидкие молочно-белые выделения без запаха.
Эта цервикальная слизь собирается в комки, образуя слизистую пробку. Это именно то, что вы думаете: пробка из слизи. Его задача — закрыть отверстие шейки матки, чтобы защитить вас и вашего растущего ребенка, предотвращая попадание бактерий в матку.
Свечение беременности
Вы знаете, что люди всегда говорят о знаменитом сиянии беременности? Возможно, сейчас это ваш единственный внешний признак беременности.Больше крови, притекающей к вашему лицу, может дать вам румяное сияние, а гормоны беременности могут сделать вашу кожу более жирной и блестящей, чем раньше.
Что говорят эксперты
«Свечение — это не миф. Хотя не все это понимают, но если ваши щеки розовеют, это, вероятно, вызвано сильным увеличением кровотока во время беременности ».
— Робин Эванс, MD
Запор
Хотя эта характерная шишка у ребенка еще не наступила, вы можете чувствовать себя больше, чем обычно, из-за газов, вздутия живота и запора.Вы можете объяснить это повышением уровня прогестерона. Прогестерон расслабляет гладкомышечные клетки, заставляя тонкий и толстый кишечник двигаться медленнее, что приводит к большему поглощению воды и более плотному стулу.
Супер чувство обоняния
Беременность может превратить ваше обоняние в суперсилу. Это интересный симптом, который, по мнению некоторых, помогает будущей маме избежать опасности. Но это может быть проблемой, если вы боретесь с утренним недомоганием, и малейшее дуновение неприятного запаха может заставить вас бежать в ванную.Взаимодействие с другими людьми
Советы по уходу за собой
Хорошо питаться (или стараться изо всех сил справляться с тошнотой), пить достаточное количество жидкости, отдыхать и уделять немного времени себе — вот константы в списке каждую неделю. Кроме того, на этой неделе вы можете уделить больше внимания коже и пищеварительному тракту.
Опередите запор
Чтобы сдуть вздутие живота и облегчить дискомфорт, продолжайте пить много воды, немного упражняйтесь и ешьте больше нерастворимой клетчатки, например цельнозерновой пшеницы, льна, фруктов с кожурой, овощей, коричневого риса и чечевицы.Взаимодействие с другими людьми
Что говорят эксперты
«Так как пить простую воду в течение всего дня легко, поэтому я рекомендую горячую воду с выжатым лимоном или добавление свежего имбиря, мяты, огурцов, ягод или любых фруктов в ваш стакан».
— Дана Анджело Уайт, MS, RD
Уход за кожей
Свечение беременности может быть связано с увеличением кровотока, но гормоны беременности также могут сыграть свою роль. Гормоны могут заставлять железы на коже выкачивать больше масла.Масло может придать блеск, но также может привести к пренатальным прыщам.
Если ваше сияние идет по пути акне, ухаживайте за кожей, умываясь каждый день мягким очищающим средством и используя увлажняющий крем без масла. Некоторые местные методы лечения, такие как бензоилпероксид и определенные кремы или растворы с антибиотиками, считаются безопасными, но салициловая кислота, ретин-А (третиноин), аккутан (изотретиноин) и другие — нет. Лучше всего проконсультироваться с врачом перед лечением высыпаний.
Советы партнерам
Для будущего беременного родителя естественно чувствовать себя неуместным в своей шкуре прямо сейчас.Они ждут, но пока не выглядят так, и могут чувствовать себя крупнее, даже если нет детской шишки, о которой можно было бы говорить. Между тем, их грудь и кожа тоже претерпевают изменения.
Вы — возможно, единственный, кто знает о беременности, — возможно, захотите показать, что замечаете небольшие изменения. Но будь нежным. Знайте, что даже хорошо продуманные положительные комментарии могут вызвать у вашей беременной партнерши смущение и беспокойство. Слушайте своего партнера и то, как он говорит о беременности и своем теле, чтобы вы могли оказать ему наилучшую поддержку.Взаимодействие с другими людьми
Предстоящие визиты к врачу
Возможно, вы посетили первый дородовой визит уже на прошлой неделе (6-я неделя) или в ближайшие несколько недель. Эта встреча длится дольше, чем обычно, и на ней делается много работы. Например, ваш лечащий врач возьмет образец крови и мочи, у вас может быть мазок Папаниколау и, возможно, УЗИ, чтобы подтвердить, что ваш ребенок растет и процветает.
После вашего первого дородового визита вы обычно посещаете своего врача для дородового осмотра примерно раз в месяц до 28 недель (7 месяцев).Тогда вы будете ходить чаще.
Особые соображения
Тошнота и рвота характерны для 70–80% беременностей. Сильная тошнота и рвота встречаются гораздо реже, но могут быть опасны для будущей матери и развивающегося ребенка.
Hyperemesis Gravidarum
Гиперемезис беременных — это продолжительная сильная тошнота с неконтролируемой рвотой, которая может привести к обезвоживанию и потере веса. От него страдают до 2,3% беременностей. Симптомы обычно начинаются на ранних сроках беременности, достигают пика примерно на 9 неделе и проходят к 20 неделе.Если вы подозреваете, что у вас гиперемезис беременных, поговорите со своим врачом.
Слово от Verywell
В течение 7 недели беременности вы можете столкнуться с полным набором ранних симптомов беременности. Просто помните, что иметь много симптомов так же нормально, как иметь только несколько, и всегда нормально позвонить своему врачу, чтобы спросить о каких-либо симптомах, если вы беспокоитесь.
На следующей неделе неприятные ощущения при ранней беременности сохранятся, наряду с быстрым ростом и развитием вашего ребенка.На 8 неделе ваш крошечный эмбрион начинает все больше и больше походить на маленького человека.
Неделя 7 УЗИ — Сканирование беременности
Врачи обычно рекомендуют УЗИ 7-й недели. Хагги делится, чего ожидать и какие вопросы вы можете задать здесь.
Примерно на седьмой неделе беременности женщины довольно часто проходят первое ультразвуковое исследование. Это может быть по многим причинам, но наиболее распространенной является подтверждение беременности, проверка жизнеспособности эмбриона и «все в порядке».
Другие причины для 7-недельного УЗИ:
- Подтвердите наличие одного или нескольких эмбрионов и гестационных мешков.
- Оцените срок беременности. Это также может быть известно как «сканирование знакомств».
Когда мать переживает кровопотерю, УЗИ может определить причину и источник кровотечения во время беременности.
- Подтвердите наличие сердцебиения.
- Проверьте размер эмбриона и убедитесь, что размер ребенка соответствует гестационному возрасту.
- Для общего осмотра матки, маточных труб и яичников.
- Чтобы гарантировать, что эмбрион имплантирован в матку и не произойдет внематочная беременность.
- Когда мать не уверена в дате своего последнего нормального менструального цикла (LNMP) и для оценки роста эмбриона в связи с ее менструальным анамнезом.
Когда необходимо сканирование датировки?
Это сканирование или ультразвуковое исследование, которое определяет ожидаемую дату родов (EDC) на основе развития эмбриона.
Сканирование свиданий обычно проводится для женщин, которые:
Не уверены в дате последней нормальной менструации.
- Для женщин с нерегулярными менструациями или циклами.
- Для женщин, которые недавно перенесли выкидыш и вскоре снова забеременели.
- Для женщин, которые недавно перестали использовать противозачаточные средства, такие как оральные контрацептивы или альтернативные формы гормональной контрацепции.
- Для кормящих женщин, у которых, возможно, не возобновились менструации, но они снова забеременели.
- В любой другой ситуации или по любой другой причине, почему подтверждение гестационного возраста эмбриона считается важным.
Насколько большим будет мой ребенок на 7-недельном УЗИ?
Эмбрион измеряется от макушки до «макушки» до низа или «крупа». Это связано с тем, что это самая длинная часть тела эмбриона, которая обеспечивает идеальную основу для измерения роста и развития. Конечности и желточный мешок, хотя и имеют важное значение, не являются основными средствами измерения роста.
Средняя длина эмбриона в 7 недель составляет от 5 до 12 мм. Средний вес менее 1 грамма. Очевидно, что каждая беременность уникальна, и индивидуальные факторы влияют на размер эмбриона на этой ранней стадии, и эмбрион демонстрирует развитие неделя за неделей.
Длина коронки / крупа и срок беременности тщательно сравниваются друг с другом примерно до конца первого триместра.
Когда мне нужно сделать самое раннее сканирование?
Идеальное время для сонографиста для оценки гестационного возраста в первом триместре — между 7-й и 10-й неделями беременности.Это период, который дает наиболее точную оценку. Как правило, УЗИ, которые проводятся в первом триместре, являются точными в течение 3-5 дней с точки зрения оценки гестационного возраста. Это потому, что, хотя каждый маленький эмбрион уникален, все же существуют определяющие характеристики развития, которые применимы ко всем эмбрионам на определенных стадиях раннего гестационного развития.
По мере того как эмбрион созревает и превращается в плод, индивидуальная генетика и факторы роста влияют на его рост.Вот почему сканирование даты беременности на ранних сроках, а не сканирование на более поздних сроках беременности, считается более точным при оценке ожидаемой даты родов. По мере взросления размер ребенка меньше коррелирует с его возрастом, чем в первые недели.
Как будет проходить 7-недельное УЗИ?
Есть два способа пройти семинедельное УЗИ. Один проходит через брюшную полость — трансабдоминально, а другой — через влагалище — трансвагинально. Некоторые специалисты по сонографии считают, что на седьмой неделе беременности трансвагинальное УЗИ обеспечивает лучшую и наиболее точную визуализацию.Это связано с тем, что преобразователю не нужно посылать звуковые волны через несколько слоев мышц и тканей, чтобы «улавливать» возвращаемые изображения.
Когда трансвагинальное ультразвуковое исследование проводится на седьмой неделе беременности, датчик помещается во влагалище матери, и звуковые волны передаются через шейку матки прямо в матку. При такой форме сканирования у матери нет необходимости иметь полный мочевой пузырь. Однако при трансабдоминальном УЗИ полный мочевой пузырь необходим, чтобы «поднимать» матку вверх и из таза, чтобы эмбрион был виден более четко.Позже, по мере развития беременности, в полном мочевом пузыре нет необходимости, поскольку увеличивающаяся матка больше не ограничивается краем таза.
Но я ничего не вижу!
На очень ранних сроках беременности эмбрион и беременный мешок могут быть слишком маленькими, чтобы вообще что-то увидеть. Но с каждым днем эмбрион становится больше и прогрессирует в своем развитии. Всего лишь неделя может иметь большое значение с точки зрения того, что можно и чего нельзя увидеть.
У меня будет мальчик или девочка?
На семи неделе беременности еще слишком рано определять, какого пола (пола) будет ребенок.Также невозможно провести тщательный скрининг плода, потому что он еще слишком преждевременен с точки зрения эмбрионального развития. Однако общие «массовые» структуры, такие как голова и тело, обычно можно увидеть у эмбриона через семь недель.
В некоторых отношениях семинедельное УЗИ может быть довольно точным, потому что эмбрион развивается очень быстро. Они также не так мобильны и активны, как будут при дальнейшем развитии. Таким образом, получить точные измерения и четко визуализировать их на экране немного проще, чем когда они могут делать сальто и много двигаться.
Могу ли я увидеть сердцебиение моего ребенка на семинедельном УЗИ?
Да, должно быть. Это также более вероятно при трансвагинальном УЗИ. Среднее количество ударов в минуту (ударов в минуту) составляет 90–110 ударов в минуту между 6–7 неделями беременности. Но к тому времени, когда ребенок полностью созреет, этот показатель увеличивается примерно до 150–160 ударов в минуту. Одна из причин этого заключается в том, что сердцу нужно работать усерднее и эффективнее, чтобы перекачивать насыщенную кислородом кровь вокруг своего гораздо более крупного тела и мозга.
Будет ли четким результаты моего семинедельного УЗИ?
Качество оборудования и навыки сонографиста очень важны при проведении любого ультразвукового исследования во время беременности. Как и у любого другого медицинского работника, индивидуальные навыки, опыт и подготовка имеют большое значение для результатов их оценок.
Когда вас впервые направят на семинедельное УЗИ, первый из многих видов УЗИ, спросите своего врача общей практики или родильного дома, который имеет лучшую репутацию в отношении качественных результатов сканирования.Вы также можете спросить своих друзей, у которых был положительный опыт, и узнать, кого они порекомендуют, если у вас есть личный опыт.
Когда УЗИ проводится между 12–22 неделями беременности, считается, что неделя беременности находится в пределах 10 дней точности. Это десятидневное «окно» дней по обе стороны от предполагаемой даты заключения — EDC, считается стандартной практикой.
Почему мое сканирование не может быть точным на 100%?
Есть много причин, почему нет.Даже при наличии самых передовых технологий и самых опытных сонографов, УЗИ не дает точных доказательств даты, пола, размера или статуса будущего ребенка. Это применимо на любом этапе беременности, когда проводится ультразвуковое исследование.
Потому что:
- Плод может быть вытянут, скручен, лежать на боку или в таком положении, которое затрудняет полную оценку размеров плода.
- Каждый плод индивидуален и находится под влиянием своих собственных генетических характеристик.
- Общее акушерское здоровье матери и здоровье плаценты играют важную роль в размере плода.
Остались вопросы по беременности? Присоединяйтесь к группе поддержки (если вы еще этого не сделали!). Материнство представляет собой совершенно новый этап в вашей жизни, и сообщество молодых мам, которые могут путешествовать вместе с вами, будет вам полезно! Советы по беременности, родителям, бесплатные образцы подгузников и эксклюзивные предложения подгузников, опубликованные на платформе Huggies Club, также помогут вам лучше подготовиться к своему новорожденному ребенку.
Информация, опубликованная в данном документе, предназначена исключительно для информационных, образовательных целей и не может быть неверно истолкована как медицинский совет. Если вы беспокоитесь о своем здоровье или благополучии своего ребенка, немедленно обратитесь за медицинской помощью. Вы никогда не должны откладывать обращение за медицинской помощью, игнорировать медицинские советы или прекращать лечение из-за информации на этом веб-сайте. Kimberly-Clark и / или ее дочерние компании не несут ответственности за интерпретацию и / или использование информации, содержащейся в этой статье.Кроме того, несмотря на то, что были предприняты должные меры и предосторожности, чтобы гарантировать, что содержание здесь не содержит ошибок или упущений, Kimberly-Clark и / или ее дочерние компании не делают никаких заявлений, обещаний или гарантий относительно точности, полноты или адекватности представленной здесь информации. и в той степени, в которой это разрешено законом, Kimberly-Clark и / или ее дочерние компании не несут никакой ответственности за претензии, ошибки или упущения.
Беременность 7 недель — Беременность неделя
Беременность 7 недель
Вы храните самый лучший секрет, не так ли? Теперь, когда у вас седьмая неделя беременности, вы проводите свой день, зная, что ждете, но никто этого не видит.Это может дать вам сюрреалистическое ощущение! А на седьмой неделе беременности вы, вероятно, задаетесь вопросом, как все будет, когда всем станет очевидно, что у вас там растет ребенок. А пока наслаждайтесь своим маленьким секретом. Чтобы получать новости о том, что происходит с вами и ребенком на протяжении всей беременности, подпишитесь на еженедельную рассылку новостей о беременности The Bump.
Насколько велик ребенок в 7 недель?
На 7 неделе беременности ребенок размером с чернику. Ваш эмбрион имеет размер около 0,51 дюйма, увеличившись вдвое с прошлой недели.Они пока еще не склонны перевесить чашу весов, но они безумно развиваются в вашем 7-недельном беременном животе.
7 недель беременности Сколько месяцев?
Семь недель беременности означает, что у вас один месяц и примерно три недели беременности, но имейте в виду, что врачи обычно назначают беременность по неделям, а не по месяцам.
7-недельная беременность Симптомы
7-недельная беременность может вызвать целый ряд симптомов. Некоторые из них не особо важны, а некоторые могут затруднить жизнь в течение дня.Вот некоторые из наиболее распространенных:
- Тошнота. Утреннее недомогание может усиливаться на 7 неделе беременности. Держитесь там и попытайтесь найти способы справиться. Некоторым будущим мамам удается облегчить проблемы с животом с помощью имбиря, витамина B6 и браслетов для акупрессуры. Когда уровень гормонов нормализуется во втором триместре, тошнота должна уменьшиться или даже исчезнуть. У будущих мам, которые находятся на 7 неделе беременности двойней, может быть более высокая вероятность тошноты и рвоты, поскольку у них, вероятно, повышенный уровень гормонов, вызывающих утреннее недомогание.
- Тяга и / или отвращение к еде. Вы можете столкнуться с побуждением есть определенные или даже необычные продукты или не хотите приближаться к определенным продуктам, которые вы раньше считали хорошими (или даже вкусными!). Отвращение к еде — это естественный способ удержать вас от потенциально опасных продуктов, который обычно сопровождается утренним недомоганием. Это нормально — поддаваться пристрастиям и баловаться здесь и там. Но постарайтесь не сходить с ума и по возможности выбирайте здоровую пищу.
- Частое мочеиспускание. Если вам кажется, что вам постоянно хочется в туалет, это не ваше воображение. Несмотря на то, что вы, вероятно, еще не выглядите беременной, ваша матка уже увеличилась вдвое, и у вас также увеличился приток крови к тазу.
- Угри. Прорывы вызваны гормональными изменениями в вашем теле. Прежде чем использовать какие-либо средства от прыщей, посоветуйтесь со своим врачом, чтобы убедиться, что они безопасны для использования во время беременности.
- Дополнительная слюна. Вот симптом, которого вы даже не ожидали! Избыток слюны, вероятно, также вызывается гормонами и может быть связан с тошнотой.
- Перепады настроения. У вас не только гормоны не в порядке, но и вы, вероятно, все еще привыкаете к мысли о беременности, и это может вызвать у вас дополнительные эмоции.
- Спазмы и / или кровянистые выделения. Спазмы на ранних сроках беременности — это нормально. В конце концов, внутри вашей матки происходит много всего, и даже если вы почувствуете, что ребенок шевелится, пройдет несколько недель, но на этом этапе беременности вы определенно почувствуете сильные спазмы и тяги.Кроме того, ваша шейка матки может быть более чувствительной сейчас, когда вы беременны, поэтому кровянистые выделения могут появиться через 7 недель после секса. Эти два симптома беременности могут вызывать тревогу, но знайте, что в большинстве случаев они не являются признаком внематочной беременности или других типов выкидыша. Если у вас возникнут боли в животе сильнее, чем типичные менструальные спазмы или кровотечение во время беременности на 7 неделе, которая тяжелее, чем месячные, это может стать причиной для беспокойства, и вам следует немедленно позвонить своему врачу.
Тем не менее, на 7 неделе беременности у вас может вообще не быть симптомов.Если это так, считайте, что вам повезло! Некоторые будущие мамы беспокоятся, что отсутствие симптомов через 7 недель может быть признаком проблемы, но это абсолютно не так. Мы будем постоянно напоминать вам, что каждая женщина переживает беременность по-своему. Если у вас есть какие-либо проблемы, обязательно сообщите о них своему акушеру, но, если ваши симптомы на 7 неделе беременности не являются серьезными или болезненными, все, скорее всего, нормально.
Чего ожидать на 7-й неделе беременности
Независимо от того, нет ли у вас симптомов беременности или все перечисленные симптомы на 7-й неделе беременности, вы, вероятно, немного не в себе.Даже если вы так взволнованы, насколько это возможно, привыкнуть к идее о беременности и связанной с ней родительской жизни может оказаться непростым делом. Ничего страшного, если вы чувствуете себя подавленным или напуганным, и ничего страшного, если вы просто чувствуете себя как-то бла. У вас много времени, чтобы приспособиться.
Поймал себя, глядя на свой живот на седьмой неделе беременности в зеркало — и даже толкал его, чтобы имитировать шишку у ребенка, просто для предварительного просмотра? Да, мы сделали это и на седьмой неделе.
Все будущие мамы индивидуальны, но многие сообщают, что в середине второго триместра матка начинает «проявляться», когда матка перерастает таз.Будущие мамы, которые находятся на 7-й неделе беременности двойней, должны ожидать, что у них появится раньше, но на данный момент это не что иное, как вздутие живота для всех.
Ультразвук при 7-недельной беременности
Как это удивительно: ваш 7-недельный эмбрион генерирует около 100 новых клеток мозга каждую минуту! И не только мозг ребенка становится более сложным, но и сердце тоже. Также важно: у ребенка формируются постоянные почки, также формируются суставы рук и ног.
На 7 неделе беременности вы готовитесь к первому дородовому посещению акушера и, вероятно, очень хотите знать, чего ожидать.Подготовьтесь к сдаче различных образцов (кровь, моча и клетки шейки матки для мазка Папаниколау), сделайте УЗИ, которое подтвердит, что у ребенка все в порядке, и получите приблизительную дату родов (да, возможно, у вас уже есть один, но врач может немного отрегулировать его в зависимости от того, что они видят).
7-недельное УЗИ не является обычным явлением, поскольку многие акушеры не принимают беременных из группы низкого риска примерно до 8–10 недель — это зависит от вашего анамнеза и предпочтений врача.
При всем ожидании ваш ум может быть полон любопытства.Вы можете даже задаться вопросом, можете ли вы ожидать более одного ребенка. Есть симптомы беременности двойней на 7 неделе, помимо двух гестационных мешочков на УЗИ. Например, если бы у вас был анализ крови, чтобы определить вашу беременность, ваш врач обнаружил бы более высокий уровень гормона беременности ХГЧ в вашей крови. У некоторых мам-близнецов более раннее и / или более тяжелое утреннее недомогание (из-за ХГЧ), и, конечно, у многодетных мам может появиться раньше.
Можно ли увидеть ребенка на УЗИ в 7 недель?
Да, вы можете увидеть 7-недельный эмбрион на УЗИ, и датчики часто могут даже определить сердцебиение в этот момент.Однако, поскольку обнаружение сердцебиения на столь раннем этапе не является гарантией, большинство врачей ждут по крайней мере до 8-й недели беременности для проведения УЗИ. Тем не менее, если у вас есть 7-недельное УЗИ, имейте в виду, что это, скорее всего, будет трансвагинальное УЗИ с использованием зонда в форме палочки, вставленного во влагалище. (Это может быть удивительно, если вы не знаете, что это стандартная практика!) Этот тип УЗИ более точен на раннем этапе и может определить сердцебиение через 7 недель.
Как выглядит ребенок в 7 недель?
Ребенок в 7 недель начинает выглядеть все больше и больше, ну, ну, с ручками и ножками, которые выглядят немного менее похожими на весло, с перепончатыми руками и ногами.У ребенка развиваются узнаваемые черты лица, такие как уши, глаза, ноздри и рот, которые становятся более четкими. Малышка также занимается наращиванием век, линз и языка. Какая работа! Неудивительно, что ты так устал.
Советы для беременных на 7 недель
Продолжайте двигаться
Физические упражнения важны для вашего здоровья в целом, но они также могут помочь устранить другие симптомы беременности. Тридцать минут упражнений в день помогут вам зарядиться энергией, когда усталость берет верх.Просто не начинайте ничего интенсивного, не посоветовавшись с врачом.
Остерегайтесь странных пристрастий
Если вы обнаружите, что испытываете тягу к непищевым продуктам, таким как грязь или глина, поговорите со своим врачом о состоянии, называемом пика, которое представляет собой принуждение есть продукты, которые не являются едой и которые нельзя употреблять. не имеют никакой пищевой ценности. Ваш врач, вероятно, проверит уровень железа и цинка, чтобы проверить наличие витаминной недостаточности.
Будьте осторожны со своей кожей
Возможно, ваша кожа сейчас раздражается, но сейчас не время вводить новые, интенсивные режимы ухода за кожей.Обязательно мойте кожу два раза в день мягким очищающим средством для борьбы с прыщами и используйте нежный увлажняющий крем для борьбы с шелушением. Если вы испытываете хлоазму (темные пятна на лице), регулярно используйте SPF 30+ и надевайте шляпу, когда выходите на улицу.
Контрольный список для беременных на 7 неделе беременности
7-недельное УЗИ — Сканирование беременности — Huggies
Женщины обычно проходят 7-недельное УЗИ, и для многих это их первый настоящий взгляд на своего ребенка.Сканирование свиданий на сроке 7 недель помогает подтвердить наличие и развитие ребенка, но также может помочь исключить осложнения при беременности.
Во время созревания эмбриона и развития плода индивидуальная генетика и факторы роста начинают влиять на рост. Сканирование свиданий на ранних сроках беременности по сравнению со сканированием на более поздних сроках беременности может быть более точным при оценке ожидаемой даты родов. По мере взросления размер ребенка меньше коррелирует с его возрастом, чем в первые недели
- Чтобы увидеть, есть ли один или несколько младенцев, и оценить гестационный возраст.7-недельное сканирование иногда называют сканированием для свиданий, потому что это точный способ оценки возраста и роста ребенка.
- Если у вас возникли какие-либо осложнения, например потеря крови, ультразвуковое исследование может помочь определить причину и источник кровотечения.
- Для подтверждения наличия сердцебиения.
- Для общего осмотра матки, маточных труб, яичников и органов малого таза.
- Чтобы гарантировать, что эмбрион имплантирован в вашу матку и не растет за пределами матки e.грамм. внематочная беременность.
- Если есть сомнения относительно даты вашего последнего нормального менструального цикла (LNMP). Также для оценки роста эмбриона в зависимости от вашего менструального цикла.
- Женщинам с нерегулярными менструациями или циклами часто рекомендуется пройти ультразвуковое исследование через 7 недель.
- Для женщин, которые недавно перенесли выкидыш и быстро забеременели. Женщины, которым была оказана помощь в обеспечении бесплодия или у которых в анамнезе были акушерские проблемы, обычно стремятся к как можно большему утешению.
- Для женщин, которые забеременели после недавнего прекращения контрацепции.
- Для кормящих грудью женщин, которые снова забеременели, даже если у них не возобновилась менструация.
- В других ситуациях, когда важно подтверждение гестационного возраста ребенка.
Ваш эмбрион будет измеряться от макушки до «макушки» до низа или «крупа». Это называется длиной макушки или CRL. Это потому, что это самая длинная часть тела ребенка, которая дает идеальное представление о его росте и развитии.
Средняя длина эмбриона в 7 недель составляет 5-9 мм. Средний вес менее 1 грамма. Очевидно, что каждая беременность уникальна, и на размер эмбриона влияют индивидуальные факторы.
Есть два способа пройти семинедельное УЗИ. Один проходит через брюшную полость — трансабдоминально, а другой — через влагалище — трансвагинально. На 7 неделе беременности трансвагинальное УЗИ обеспечивает лучшую и наиболее точную визуализацию. Это связано с тем, что преобразователю не нужно посылать звуковые волны через несколько слоев мышц и тканей, чтобы «улавливать» возвращаемые изображения.
Когда трансвагинальное ультразвуковое исследование проводится на седьмой неделе беременности, датчик помещается во влагалище матери, и звуковые волны передаются через шейку матки непосредственно в матку. При этой форме сканирования у матери нет необходимости иметь полный мочевой пузырь. Однако при трансабдоминальном УЗИ рекомендуется частично заполнить мочевой пузырь. Это помогает продвинуть кишечник из таза в брюшную полость, чтобы можно было более четко увидеть матку, яичники и беременность.Позже, по мере развития беременности, в полном мочевом пузыре нет необходимости, поскольку увеличивающаяся матка больше не ограничивается краем таза.
На очень ранних сроках беременности эмбрион и беременный мешок могут быть слишком маленькими, чтобы их вообще можно было увидеть. Более очевидны форма и общие структуры. И если присутствует, то крошечное сердцебиение. Среднее количество ударов в минуту (ударов в минуту) составляет 100–180 ударов в минуту между 6–7 неделями беременности.
На семи неделе беременности еще слишком рано определять, какого пола (пола) будет ребенок.Также невозможно провести тщательный скрининг плода, потому что он еще слишком преждевременен с точки зрения эмбрионального развития. Однако общие «массовые» структуры, такие как голова и тело, обычно можно увидеть у эмбриона через семь недель.
- Когда был ваш последний нормальный цикл и регулярный ли цикл?
- Как вы зачать ребенка — естественным путем или с помощью репродуктивной системы?
- Какой номер беременности и ваш акушерский анамнез.
- Сколько у вас (живых) детей.
- Ваш медицинский и хирургический анамнез.
- Если вы принимаете какие-либо лекарства.
- Если у вас были выкидыши или осложнения при беременности.
FAQ
Подскажет ли мой сканер знакомств, сколько детей я вынашиваю?
Да, одна из основных причин проведения сканирования на сроке 7 недель — подсчет количества гестационных мешков и эмбрионов.
Должен ли мой партнер быть со мной на 7-недельном сканировании?
Если возможно, поделитесь этим приятным опытом.Для многих партнеров это первый раз, когда беременность кажется «настоящей».
Что, если они обнаружат, что что-то не так?
На сроке 7 недель можно увидеть только гестационный мешок и желточный мешок. Беременность еще очень ранняя. Если возникнут сомнения, вас могут попросить вернуться для повторного сканирования через 7-10 дней, чтобы проверить развитие эмбриона.
Написано и отрецензировано Джейн Барри, акушеркой и детской медсестрой, 01.06.20.
7 неделя беременности
Ультразвуковое изображение эмбриона на 7 неделе беременности.
Неделя 7 — захватывающее время для вас и вашего ребенка, поскольку вы оба будете быстро меняться. Это время, когда ваш ребенок испытывает резкий скачок роста.
Ваш малыш
На 7 неделе эмбрион теперь имеет длину от 9 до 10 мм (от макушки до крупа) и в 10 000 раз больше, чем был при зачатии. Пальцы рук и ног вашего ребенка сформированы, но не разделены, что придает им вид лопастей. На этом этапе эмбрион демонстрирует порывы быстрых движений.Печень теперь производит красные кровяные тельца и будет продолжать это делать до тех пор, пока не сформируется костный мозг, который затем возьмет на себя производство красных кровяных телец.
7 недель также знаменуют собой начало огромного скачка роста. В течение этого периода (от 7 до 20 недель) части тела вашего ребенка будут быстро расти, а такие органы, как сердце и мозг, будут развиваться и усложняться. За это время формируются основные структуры всех основных частей тела и органов, при этом большая часть роста сосредоточена на мозге.Клетки мозга вашего ребенка генерируются со скоростью 100 в минуту! Появляются первые кровеносные сосуды кровеносной системы. Аппендикс и поджелудочная железа теперь очевидны, а внутри рта развиваются зубные зачатки, язык и нёбо. Уши продолжают формироваться, в то время как глаза теперь покрыты началом того, что позже станет веками.
Ваше тело и симптомы
Поскольку вы сейчас находитесь на середине первого триместра, вы, возможно, привыкаете к беременности, однако на горизонте есть много изменений.Вы можете почувствовать, что боли более выражены, и у вас может появиться боль в спине, даже если вы еще не несете значительного веса. Это может быть связано с тем, что кости размягчаются и уступают место растущей шишке ребенка.
«Утреннее недомогание» обычно уменьшается по мере прогрессирования беременности, хотя некоторые женщины продолжают испытывать его на протяжении всей беременности — и то, и другое совершенно нормально. Употребление имбиря, например имбирное печенье или имбирный чай могут облегчить тошноту.Многие женщины считают полезным есть имбирное печенье утром перед тем, как встать с постели. В это время также может сохраняться потребность в более частом мочеиспускании. Если вы чувствуете потребность в более частом мочеиспускании, вам следует убедиться, что вы не уменьшаете количество жидкости, которую вы пьете, поскольку сохранение гидратации важно как для вас, так и для вашего ребенка на протяжении всей беременности.
Вы также можете испытывать болезненные ощущения в груди. Это связано с комбинацией гормонов беременности и повышенным кровоснабжением тканей груди.Вы также можете обнаружить, что ваша грудь увеличилась в размерах. Некоторые женщины сообщают, что их грудь увеличивается на размер чашки бюстгальтера. Возможно, вам будет полезно приобрести новый, правильно подобранный бюстгальтер. Все эти изменения нормальны и необходимы для подготовки к кормлению грудью. Вы также можете испытывать отвращение к пище и / или запахам. Если вы обнаружили, что это проблема, рекомендуется поискать продукты-заменители. Например, если вы не любите мясо, ищите продукты с высоким содержанием белка / железа.
Некоторые женщины страдают запорами во время беременности. Это вызвано расслаблением мышц кишечника, что приводит к более «вялой» пищеварительной системе. Пища остается в пищеварительной системе дольше, обеспечивая извлечение из нее максимального количества питательных веществ, но запор может быть неприятным побочным эффектом этого. Соблюдайте диету с высоким содержанием клетчатки и употребляйте пробиотические продукты, например йогурты с пробиотиками могут помочь облегчить запор.
Симптомы, которых следует опасаться
Ярко-красное вагинальное кровотечение является обычным, но ненормальным в настоящее время.Чаще всего это происходит из-за небольшой угрозы выкидыша, который пройдет, но также может быть из-за внематочной беременности, которая в целом более серьезна. При внематочной беременности может наблюдаться более резкая и сильная боль в области таза, которая может вызвать тошноту и рвоту. Нижняя часть живота и таз могут быть очень болезненными и болезненными. Риск внематочной беременности низок у женщин, у которых она не была раньше, но намного выше, если у них уже была такая беременность или если у них ранее была инфекция тазовых органов. В этих случаях необходимо медицинское обследование.
Ваша помощь
В NHS вы останетесь в одиночестве на этом этапе, если у вас не возникнет никаких проблем. Если у вас действительно возникнет кровотечение, вы будете довольно быстро осмотрены либо в отделении неотложной помощи, либо у терапевта. Вам сделают сканирование и сдадут анализ крови. Если вы действительно испытываете резкую боль, потерю сознания или сильное кровотечение, вызовите скорую помощь. Если есть подозрение на внематочную беременность, то будет проведено сканирование, внематочная беременность должна быть исключена.
Доступен частный уход
На любом сроке беременности вы можете заказать УЗИ в частном порядке.На этом этапе вы можете видеть эмбрион (или эмбрионы), а также сердцебиение. Это называется ранней беременностью или сканированием жизнеспособности.
Если есть подозрение на внематочную беременность, будет выполнено ультразвуковое сканирование, обычно это сканирование проводится трансабдоминально, однако в случаях, когда матка наклонена назад или имеется высокий ИМТ матери, это может быть выполнено трансабдоминально. -вагинально.
Если есть подозрение на внематочную беременность, будет выполнено ультразвуковое сканирование, обычно это сканирование проводится трансабдоминально, однако в случаях, когда матка наклонена назад или имеется высокий ИМТ матери, это может быть выполнено трансабдоминально. -вагинально.
Вы можете записаться на консультацию к акушеру или частной акушерке, чтобы обсудить любые вопросы, которые могут у вас возникнуть.
На этом сроке беременности вы можете заказать следующие сканирования
Чего ожидать на шестинедельном приеме на УЗИ
Узнайте, что вы видите на УЗИ для свиданий (уже через шесть недель) и как подготовиться к первому визиту.
Вы никогда не забудете, как впервые увидите своего ребенка на светящемся черно-белом ультразвуковом экране.Это захватывающе и страшно, и это облегчение — узнать , что именно происходит внутри вашего тела . Мы спросили у экспертов все, что вам нужно знать о шестинедельном УЗИ или первом приеме УЗИ.
Когда делают первое УЗИ при беременности?Ваш врач обычно ждет не менее шести недель до проведения первого ультразвукового исследования. Однако, если у вас нерегулярные периоды или у вас в анамнезе были осложнения, такие как внематочная беременность , выкидыш , боль, или кровотечение , ваш врач может отправить вас на более раннее сканирование, говорит Сьюзан Киннер. , менеджер по диагностической визуализации в Центре медицинских наук Гамильтона и главный директор Sonography Canada.Как правило, если у вас регулярные месячные и вы знаете «предполагаемую» дату зачатия, у вас не будет первого ультразвукового исследования до тех пор, пока вы не приблизитесь к концу первого триместра, на 11–14 неделе. (Помните, беременность отсчитывается с первого дня вашей последней менструации.)
Что происходит на шестинедельном УЗИ?Если ваше первое УЗИ проводится раньше, чем семь недель , ребенок часто настолько мал, что его трудно увидеть с помощью традиционного УЗИ брюшной полости.Вместо этого вам сделают трансвагинальное УЗИ, при котором во влагалище вводят датчик длины тампона (ультразвуковую палочку), чтобы увидеть плод. «Вагинальное УЗИ — лучший способ сделать УЗИ в первом триместре», — говорит Дуг Уилсон, профессор акушерства и гинекологии в Университете Калгари в Альберте. Примерно на сроке от семи до восьми недель сонографист может подтвердить гестационный возраст (срок родов) плюс-минус три дня. По словам Киннер, ваш врач будет продолжать использовать эту дату в качестве маркера на протяжении всей беременности.
Что они ищут во время первого УЗИ?
Сонографист ищет несколько основных моментов в этом первом сканировании.
Свидание на УЗИ: подтверждение срока сдачиЧтобы определить гестационный возраст вашего ребенка, сонограф измеряет длину от макушки до крестца, которая обычно указывает дату рождения ребенка.
Что они будут проверять на первом УЗИ? СердцебиениеЧерез шесть недель сонографисты могут увидеть сердцебиение на мониторе (подробнее об этом ниже).
Сколько УЗИ вы делаете при обычной беременности? Расположение эмбрионаТехник смотрит, имплантируется ли эмбрион в матку. Если он имплантируется вне матки, это указывает на внематочную беременность, которая происходит, когда оплодотворенная яйцеклетка имплантируется в маточную трубу или где-то помимо матки. Где имплантаты эмбриона также важны, поскольку они могут быть выше или ниже в матке. («Чем выше, тем лучше», — говорит Киннер.)
Количество плодовТехник ищет несколько эмбрионов или мешков, чтобы определить, есть ли у вас близнецы (или больше!).
Желточный мешокНа этой ранней стадии сонографист будет искать желточный мешок, который прикреплен к ребенку, как воздушный шар, для обеспечения питания, объясняет Киннер. Сонографы изучают размер и форму желточного мешка (это показатель здоровья ребенка), который в конечном итоге исчезает примерно на 12 недель .
КистаУ женщин очень часто появляется киста желтого тела в течение первых трех месяцев , которая формируется на фолликуле, из которого выходит яйцеклетка, поэтому они заметят любые признаки кисты во время сканирования.
Когда можно увидеть сердцебиение?Сонограф может или не сможет обнаружить сердцебиение, в зависимости от того, как далеко вы находитесь, говорит Уилсон. «Самое раннее сердцебиение, которое вы можете увидеть, — это , пять недель, и два дня беременности», — говорит Киннер. Даже в этом случае сонографисты часто видят сердцебиение только на 20% ранних сканирований. По словам Киннира, хотя это может нервировать, ваш врач, скорее всего, отправит вас на повторное сканирование через одну-две недели для повторной оценки.(Если ваш врач использует допплер для вашего живота, вы также можете услышать сердцебиение, но, вероятно, не раньше, чем по крайней мере 10 недель .)
Что вам могут сказать на УЗИ?Не волнуйтесь, если техник мало говорит. В зависимости от провинции и медицинской клиники они могут или не могут предоставить вам подробную информацию о вашем ребенке, например, сердцебиение и размер. Большинство клиник отправят результаты вашему врачу по факсу для последующего приема.Если возникнут какие-либо опасения, они могут заставить вас поговорить с кем-нибудь сразу после приема на УЗИ.
Как выглядит ваш ребенок на шестой неделе беременности?На шестой неделе беременности ваш плод размером с один душистый горошек (или четверть дюйма), поэтому вы не сможете много видеть, хотя у него уже появляются признаки развития черепа и конечностей. На экране он, вероятно, будет выглядеть просто как светящаяся маленькая капля (но, эй, это ваша красивая маленькая капля !).
Как вы готовитесь к первому визиту на УЗИ?Будь то шесть недель или позже, вам нужно будет подготовиться к первому визиту на УЗИ . Kinnear рекомендует выпить стакан воды за 45 минут до сеанса УЗИ, если у вас есть УЗИ брюшной полости. Полный мочевой пузырь обеспечивает ультразвуковое окно, чтобы лучше видеть, что находится внутри матки. «Многие люди переполняют свой мочевой пузырь», — объясняет она. «Они приходят и говорят:« О, я выпила 10 стаканов воды », — говорит она.«Это покажет ребенка лучше, но на самом деле ты можешь быть слишком сытым». Вам не только придется пописать до того, как сканирование закончится, но и в этом нет необходимости. Кроме того, если вы находитесь на очень раннем сроке беременности, вам, вероятно, все равно придется пройти трансвагинальное сканирование, которое не требует полного мочевого пузыря или какой-либо подготовки.


С этого момента и до 12 недели срок определяется по копчико-теменному размеру, и только потом рассчитывается по головке.
3.
Такой метод позволяет получить более точные результаты.